PHOTO GALLERIES
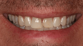
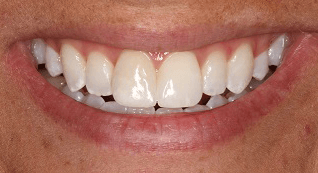
Porcelain Veneers Service Pictures
*Individual results are not guaranteed and may vary from person to person. Images may contain models.
*Individual results are not guaranteed and may vary from person to person. Images may contain models.