Photo Gallery
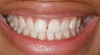
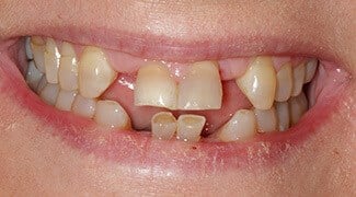
Peruse the incredible before and after photos of patients who visited Dr. Roach at Orlando Advanced Dentists. We know that selecting a dentist is an important task, and we strive to give our patients the best possible results. And these photos speak for themselves! Click the button below to view all galleries, see in depth information regarding their situation, and information regarding the solution enacted by the experienced Dr. Roach and her team at Orlando Advanced Dentists in Lake Mary, FL.




Additive Cosmetic Bondings to close Black Triangles.



Zoom whitening, Gum recontouring, Single Porcelain Veneer with Custom Shade and Characterization



Zoom Whitening, Gum Recontouring, Replacement of two old front porcelain fused to metal crowns with two All Ceramic Crowns and Additive Cosmetic Bondings to reshape other teeth in the smile.



Smile Design, Gum Recontouring, Porcelain Veneers and Zoom Whitening.



Zoom Whitening, Single Porcelain Veneer with Custom Staining



Zoom Whitening & Cosmetic Additive Bonding



Zoom Whitening, Implants, Implant Retained Prosthesis, Enamelplasty



Zoom Whitening, Cosmetic Additive Bondings, Porcelain Crowns



Additive Cosmetic Bonding



Smile Design, Zoom Whitening, Extraction, Porcelain Bridge with Custom Staining, Enameloplasty



Orthodontics, Zoom Whitening, Gum Recontouring, Cosmetic Additive Bondings, Porcelain Veneers, Non Prep Maryland Bridge



Orthodontics, Gingival Recontouring, Zoom Whitening. Maryland Bridge to Replace Missing Tooth, Porcelain Veneer

Express Invisalign Treatment and Zoom Whitening

Full Invisalign Treatment and Zoom Whitening

Orthodontic Treatment, Smile Design, KOR Whitening and Porcelain Cantilever Bridges to replace missing teeth.

Orthodontic Treatment, Smile Design, Gum Recontouring, Zoom Whitening, Porcelain Veneer and Porcelain Maryland Bridge replacing Congenitally Missing Tooth.



Zoom Whitening