Dental Crowns in Orlando, FL

34 Services ( View All )

Overview

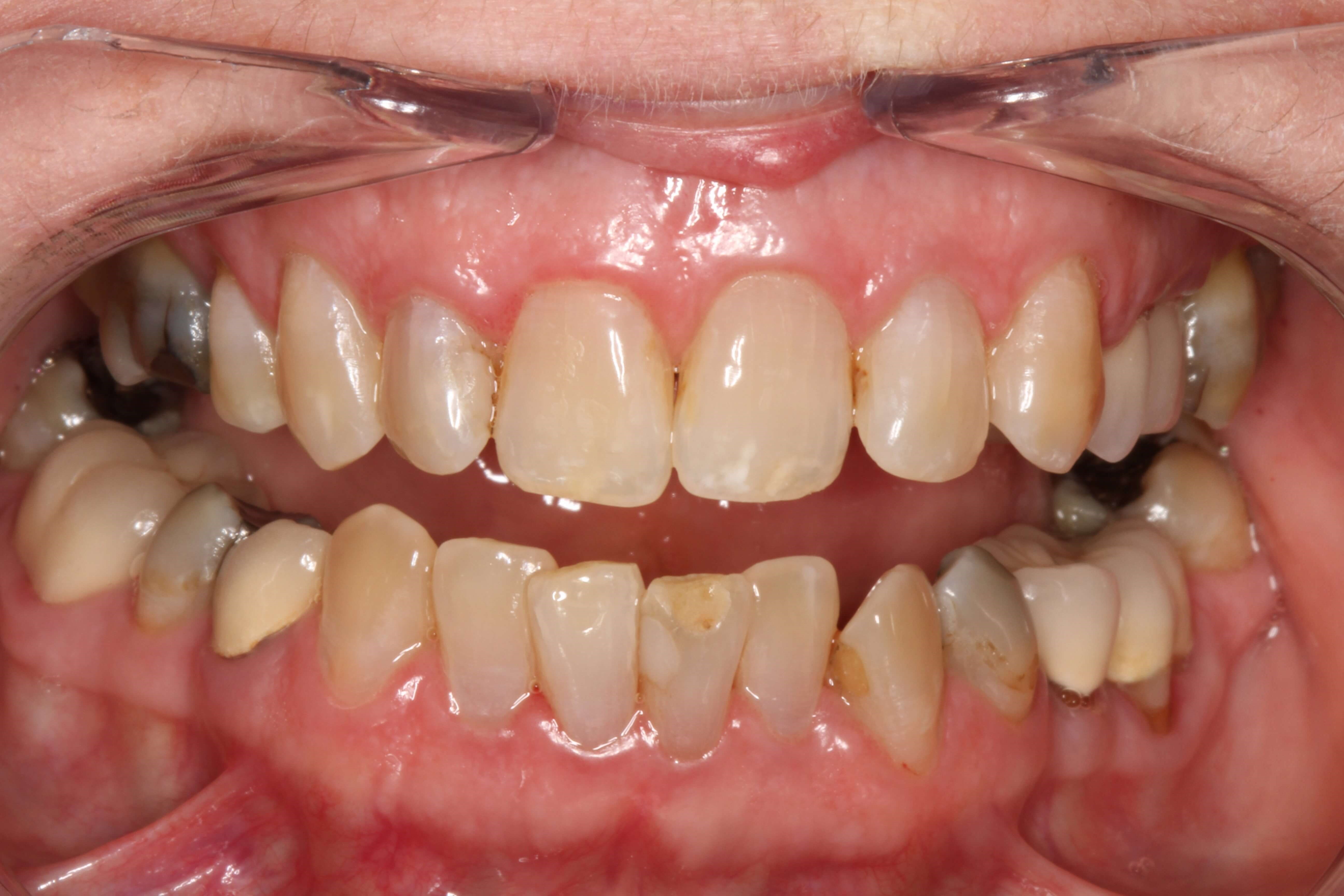
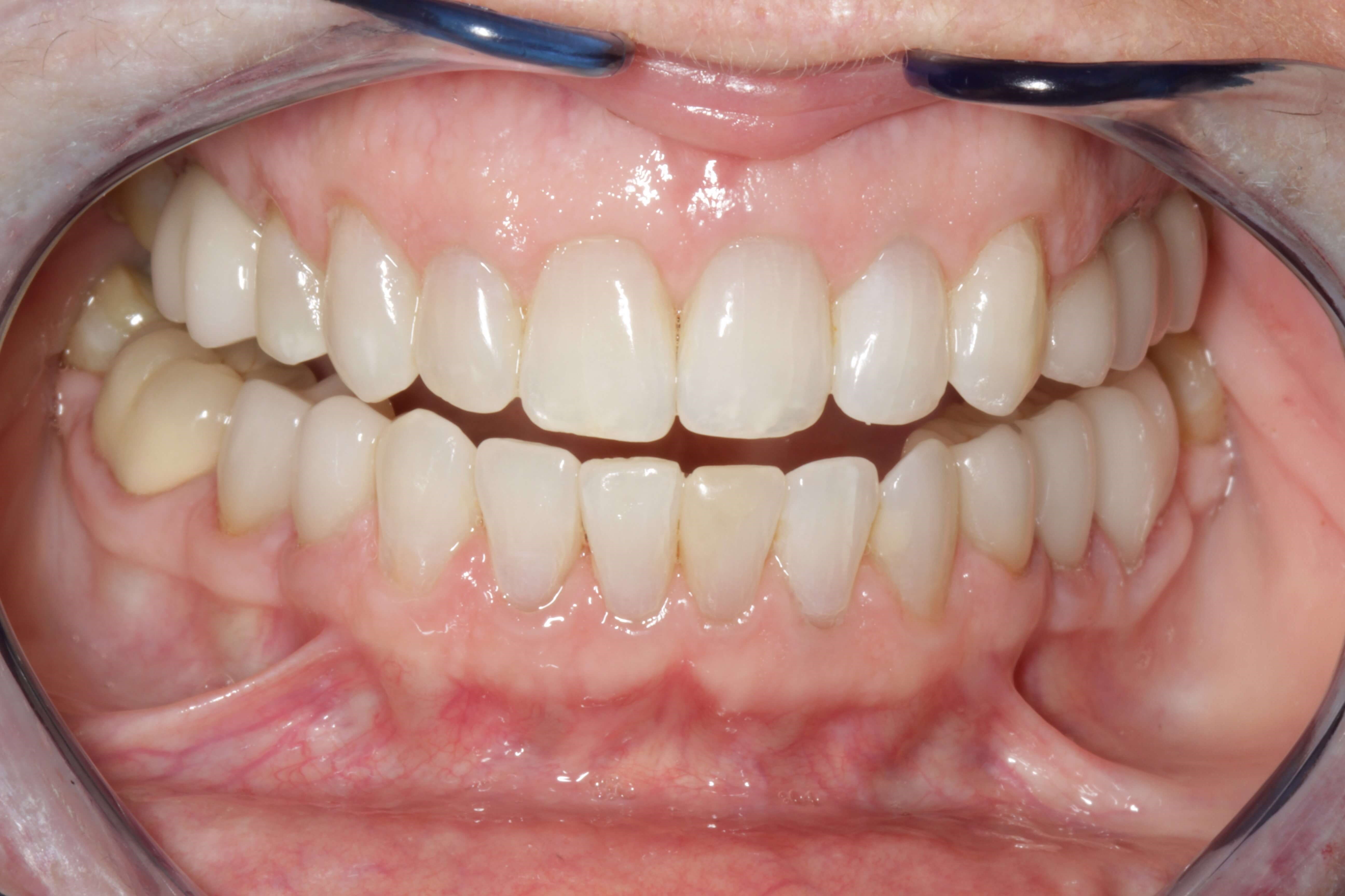
If a tooth is damaged or worn down, it often can be protected with a dental crown. Also known as caps, crowns are custom made to fit over damaged teeth and colored to match your surrounding enamel for a seamless appearance. At Orlando Advanced Dentists in Orlando, FL, a dental crown may be used to treat tooth decay, protect a weak tooth, restore a cracked tooth, or cover a discolored tooth. Cosmetic dentist Dr. Patricia Roach offers custom crowns crafted from varying materials to match your restorative needs and cosmetic goals, including all-ceramic Empress®, high-grade metal, and porcelain fused to metal (PFM) options. Schedule a consultation with Dr. Roach to learn about how a custom dental crown can strengthen or repair a tooth while also enhancing the overall appearance and health of your smile.

Best Candidates

A crown may be needed or wanted in a variety of situations. Crowns can be used to restore decaying teeth or hold together cracked teeth. Crowns can also rebuild worn-down or broken teeth and protect root canal-treated teeth. These common restorations can be utilized to support teeth with large fillings that are no longer functioning properly, transform misshapen teeth, or enhance the look of discolored teeth. Dr. Roach custom-creates crowns that can be cemented to a tooth to restore function or attached to a dental implant to complete a tooth replacement procedure. In many cases, the material of the crown is chosen based on the location of the tooth. Metal or porcelain fused to metal options are usually stronger and well-suited for the less visible molars. Porcelain or all-ceramic Empress crowns are often selected for the front teeth and custom made to match the size, color, and shape of your surrounding natural teeth. In your consultation, Dr. Roach will explain your options and help you select the crown solution best for your budget, smile goals, and restorative needs.

What To Expect

On the day of your crown procedure, Dr. Roach will numb your tooth and gums and remove any decay or damaged tooth structure. She and our team take special care and extra time to remove all traces of caries (decay) and thoroughly disinfect the tooth. Impressions of the area are taken for our lab to use when fabricating the custom crown. A desensitizing agent is then used to coat the tooth structure to minimize any future sensitivity. If needed, a temporary crown can be placed over your tooth while your custom crown is being fabricated.

Once your custom crown is ready and arrives back in our practice, usually about 1 – 2 weeks later, Dr. Roach will put the finishing touches on your new restoration. With advanced skill and artistic technique, she will provide custom characterization and shade matching to ensure your new crown looks and feels just like natural tooth structure. We will then schedule you to come back into our office to have your permanent crown cemented in place. Dr. Roach uses a special bonding technique for all restorations that is backed by science and shown to deliver lasting, high-quality results. The crown will be cemented onto the tooth or attached to a dental implant. Once your new crown is in place, Dr. Roach will adjust the fit so that your bite is correct and comfortable.

Recovery

If only local anesthesia is used for your crown preparation visit, you should be able to continue your daily activities. Be sure to let the anesthesia wear off before eating so that you do not accidentally bite your soft tissues. Dr. Roach or a member of our team will teach you the best way to care for your dental crown, including foods to avoid and the ideal way to keep it clean. During your yearly examinations at Orlando Advanced Dentists, Dr. Roach will assess your crown and adjust the fit for comfort, if necessary. She will tell you when the crown needs to be replaced, but with proper care, it should last for many years. If you notice any trouble with your crown (it becomes loose or falls off), contact our office immediately. Do not try to fix it or put it back in yourself as this can damage your restoration or your underlying tooth.

Custom Dental Crowns

A single damaged tooth can be repaired with a custom crown at Orlando Advanced Dentists. Talk to Dr. Roach about how a crown can protect your tooth from further damage and bring health back to your smile. With a wide variety of available materials, a customized crown can be made to match your natural teeth for a beautiful and seamless appearance. Contact our office in Orlando, FL to schedule a consultation with cosmetic dentist Dr. Roach.

Related Procedures

*Individual results are not guaranteed and may vary from person to person. Images may contain models.