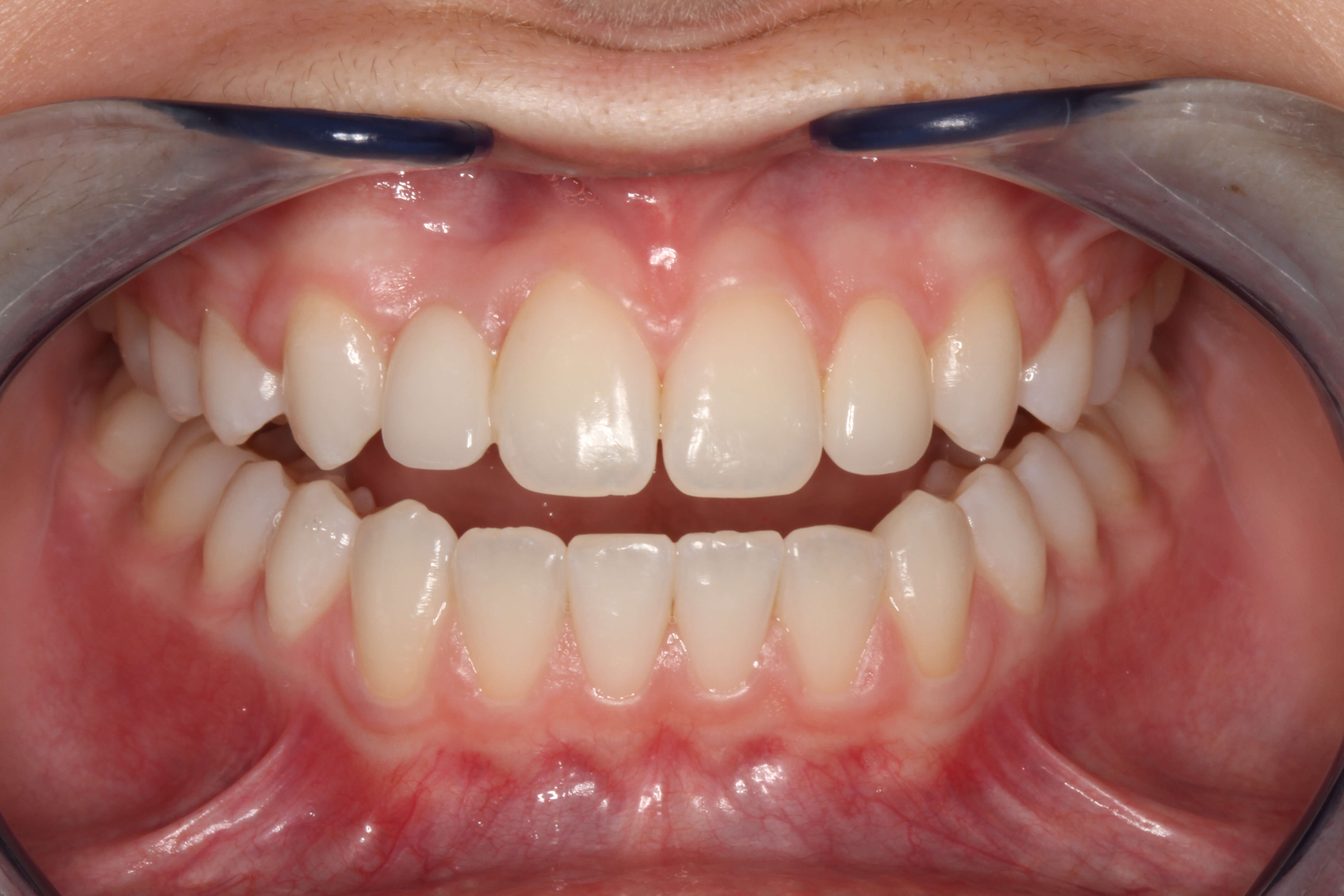
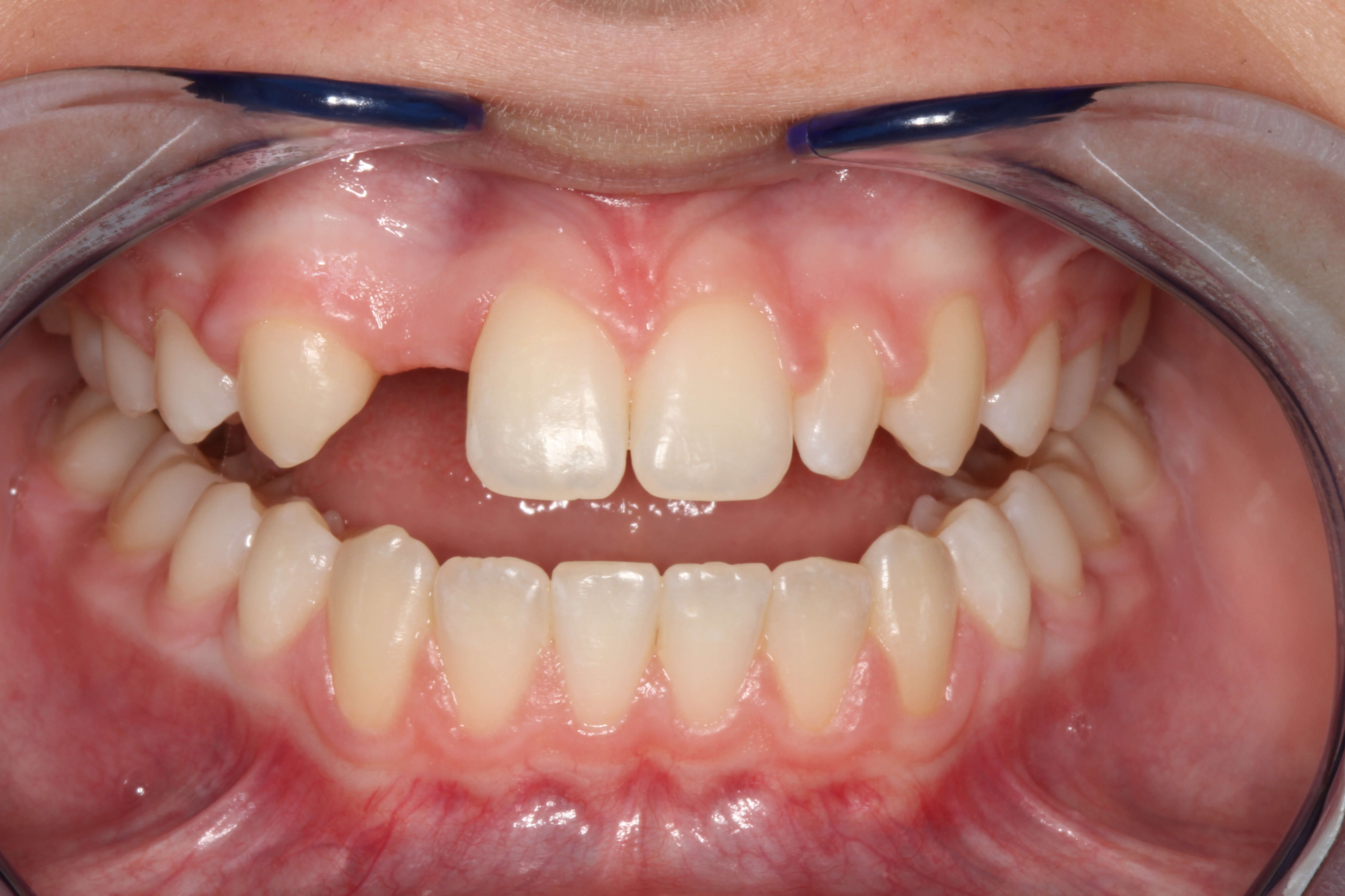
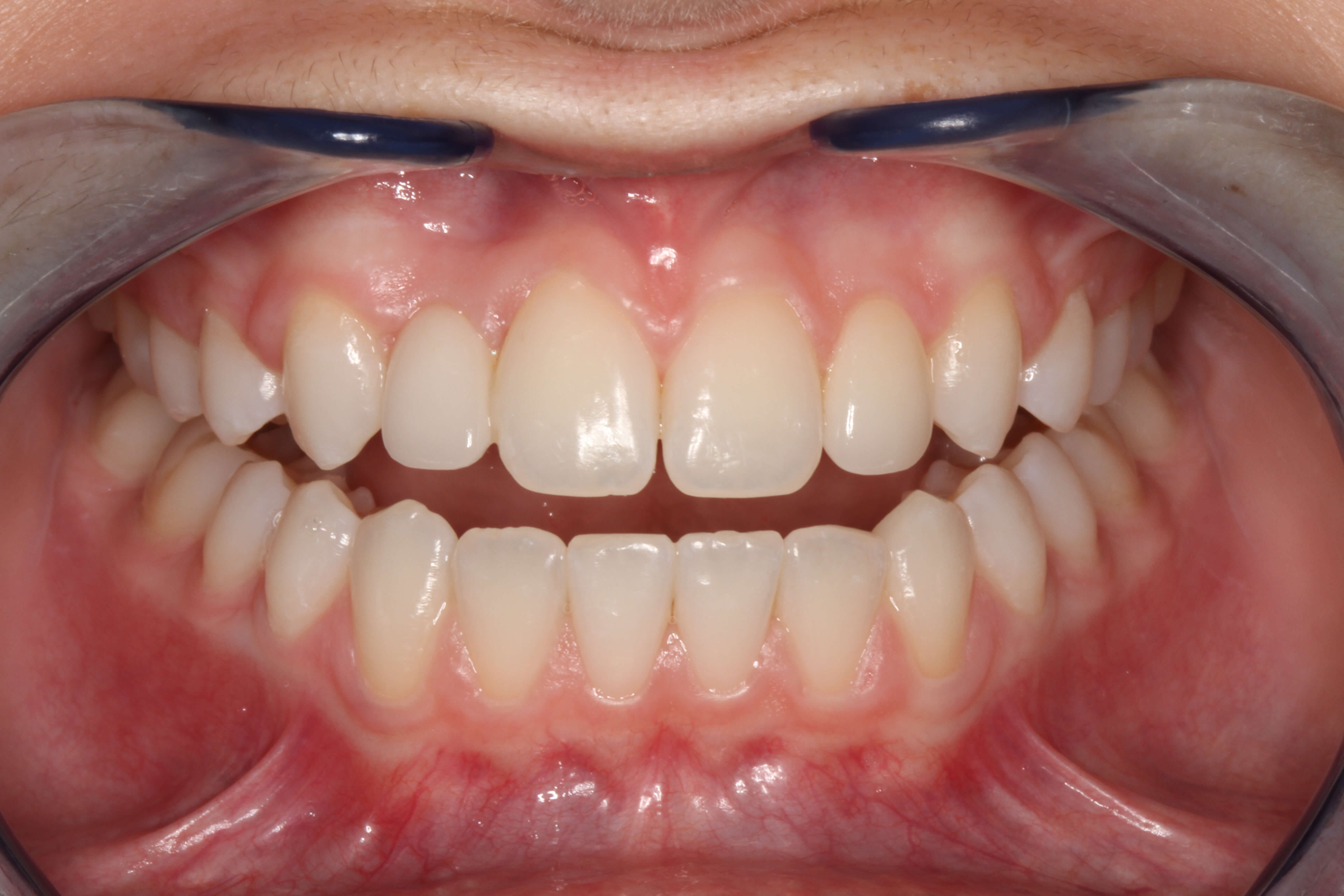
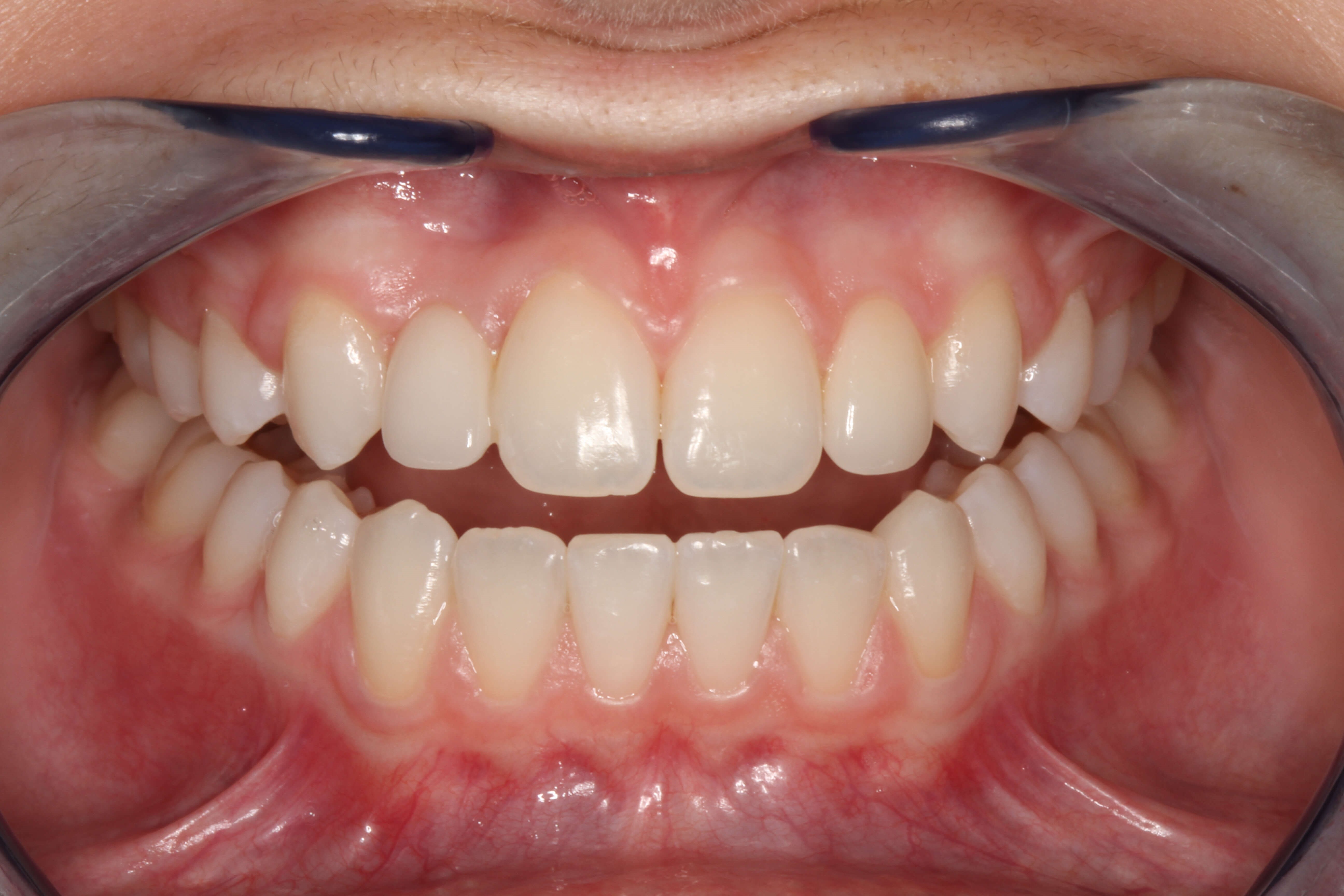
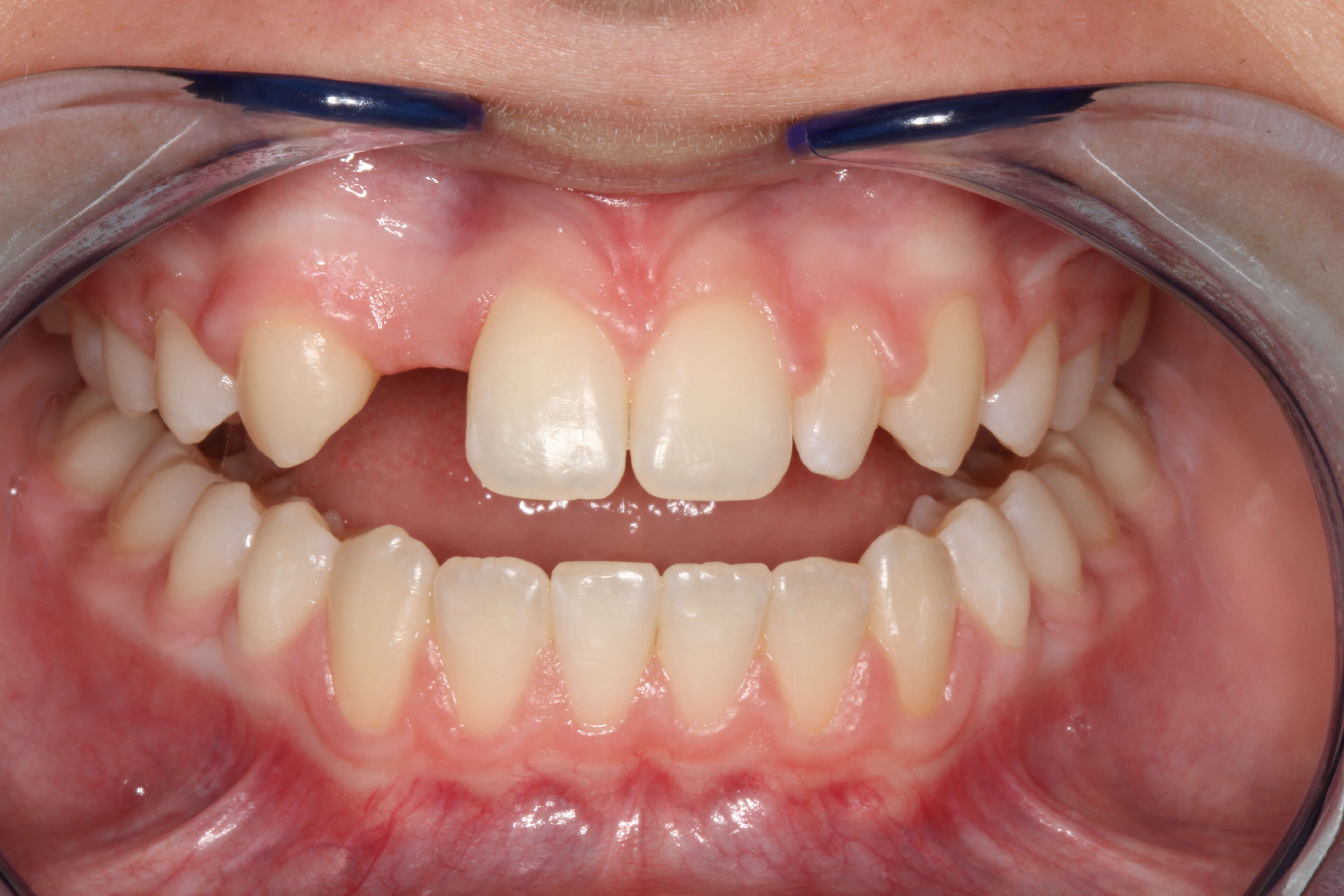
Smile Makeover to replace missing tooth after Orthodontic Treatment
Procedure
- Dental Bridges
- Dental Bonding and Contouring
- Gum Contouring
- Smile Makeover
- ZOOM! Whitening
- Porcelain Veneers
- Dental Bonding
- bonding
- missing teeth
- Replace missing teeth
- Porcelain Veneers
- Dental Veneers
- Cosmetic
- Veneers
- Smile Design
- all ceramic veneers
- Porcelain Dental Veneers
- Cosmetic Dentistry
- New Smile
- Gum Recontouring
- Dental Makeover
- Cosmetic Teeth Whitening
- Cosmetic Bonding
- gum lift
- Teeth Whitening
- Teeth Bonding
- Tooth Veneers
- Porcelain Veneer
- Recontouring
- Cosmetic Dentist
- Maryland Bridge
Profile
Procedure Details
Location
Popular Searches
* All information subject to change. Images may contain models. Individual results are not guaranteed and may vary.

