Gum Contouring in Orlando, FL

34 Services ( View All )

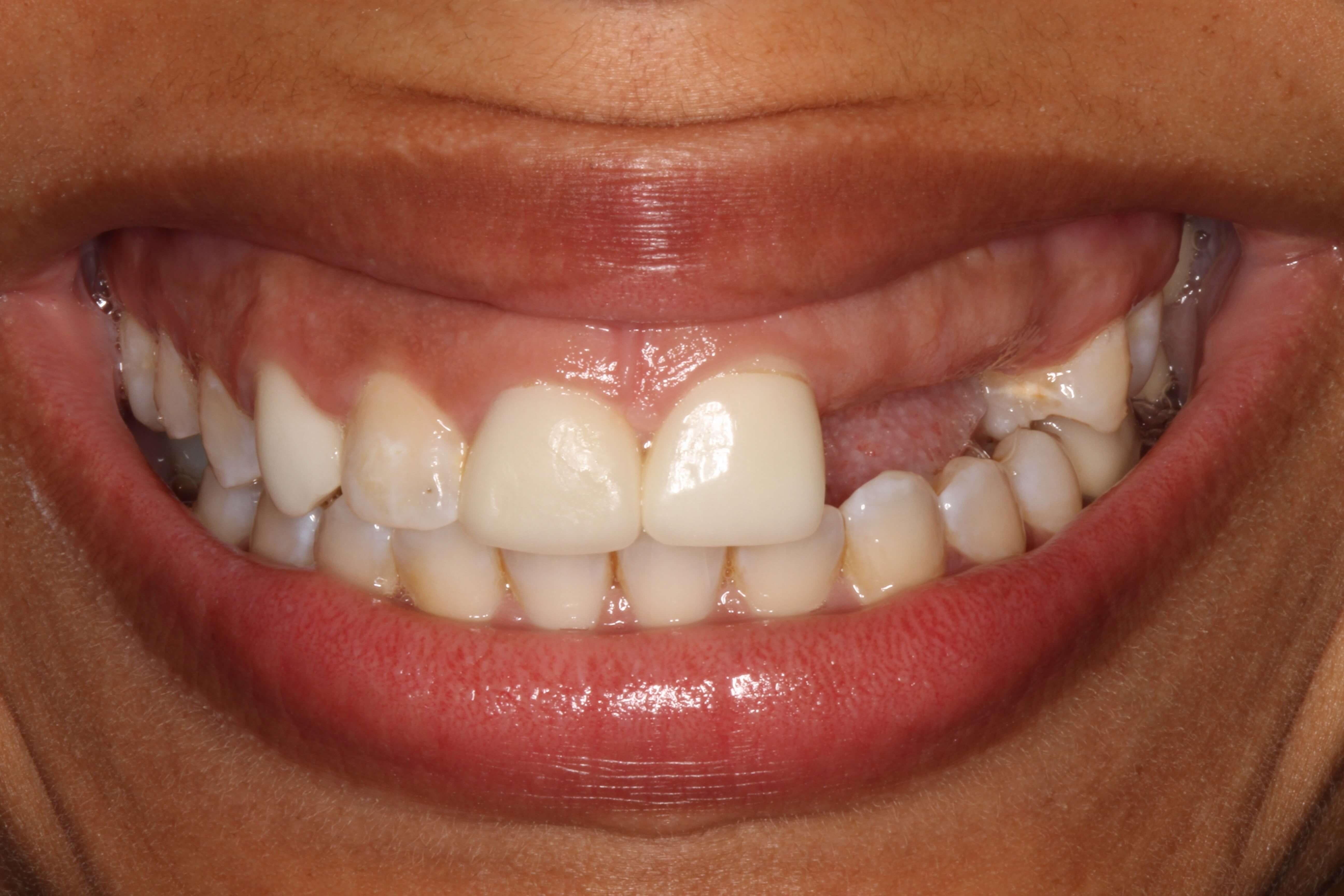
Overview

Your smile may have a "gummy" appearance if too much of your tooth structure is covered by the gumline. At Orlando Advanced Dentists, we are pleased to offer gum contouring procedures to sculpt the smile by removing the excess soft tissue and showing more of the enamel surfaces of your teeth. Gum sculpting can not only give you a more aesthetically appealing smile, but it can also improve your oral health by reducing areas where bacteria frequently accumulate. This minimizes your chances of developing gum disease, tooth decay, and other oral problems. In some cases, gum recession may have left you with dark triangular spaces between your teeth, which may be cosmetically enhanced with dermal fillers to plump the gums in these areas. Schedule an appointment with talented cosmetic dentist Dr. Patricia Roach at our office in Orlando, FL to receive more information about cosmetic gum contouring and reshaping for a balanced, attractive smile.

Best Candidates

Overgrown gums or tissue that cover too much of the enamel can often give the appearance of short teeth. Sculpting the gumline can create a more proportionate smile while also improving your oral health. You could be a candidate for gum contouring and sculpting if you want to enhance your smile by treating a “gummy” appearance. Gum contouring may also be ideal if you struggle with recurring oral inflammation or gum disease due to bacteria hiding under excess gum tissue. Patients who have recently completed orthodontic treatment may also benefit from cosmetic smile enhancement with gum contouring.

When gum recession occurs, the gum tissues shrink away from the teeth. This often leaves behind triangular gaps between the teeth near the gums and creates an aging appearance that many patients wish to avoid. Cosmetic dermal fillers may be used to plump up the gum tissue in these areas, filling the spaces and creating a more attractive, youthful smile line. 

What to Expect

Gum sculpting or contouring is performed in our office typically with local anesthesia. We may offer sedation options if you have anxiety or fears about receiving dental care. To prepare you for your gummy smile treatment, your teeth and gums will be cleaned and dried. Dr. Roach will then use a laser to eliminate excess gum tissue and create a better-shaped gumline. The laser seals the soft tissue for minimal bleeding during the process. Once your gumline is sculpted, Dr. Roach will rinse your teeth and gums and show you the results. Typically, gum sculpting can be finished in one visit.

Dermal fillers for the gums offer a quick, noninvasive procedure. To perform this service, Dr. Roach will rinse and dry your gum tissues and administer a small amount of dermal filler in the gum tissue closest to the dark triangular gap. This process will be repeated across the smile where necessary. When receiving dermal fillers for the gums, the effects are immediately noticeable, but the procedure may need to be repeated every 4 – 8 months to maintain results.

Recovery

Once your procedure is done, Dr. Roach will discuss home care instructions. Your gums may be slightly inflamed for a few days following your gum contouring or filler procedure. With a proper oral care routine at home of daily flossing and brushing, however, your gums should heal rather quickly. It is important to attend annual dental exams and twice-yearly dental cleanings so that Dr. Roach and our team can continue to monitor your dental health.

Gum Contouring

Cosmetic gum contouring and dermal fillers for the gums are popular procedures for a number of reasons. While gum contouring can enhance the overall appearance of a "gummy" smile and reduce your risk for oral infection, dermal fillers can fill in spaces caused by gum recession for a more attractive grin. Whether you want to see a more beautiful smile or improve your oral health, gum contouring or fillers from Orlando Advanced Dentists may be a great treatment option for you. If you would like to learn more about these treatments, please contact our office in Orlando, FL today to make your consultation with Dr. Roach.

Related Procedures

*Individual results are not guaranteed and may vary from person to person. Images may contain models.