PHOTO GALLERIES
Smile Makeover Service Pictures
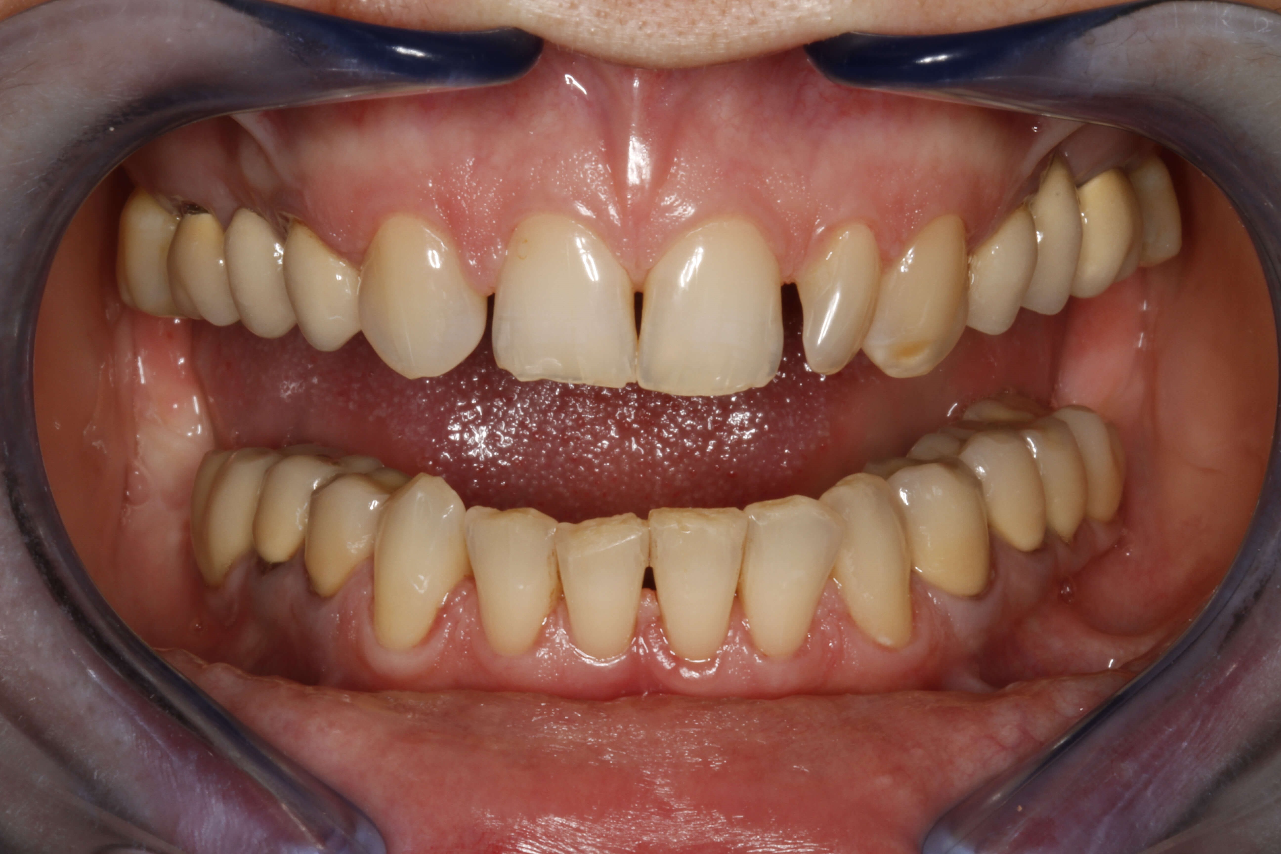
*Individual results are not guaranteed and may vary from person to person. Images may contain models.
*Individual results are not guaranteed and may vary from person to person. Images may contain models.