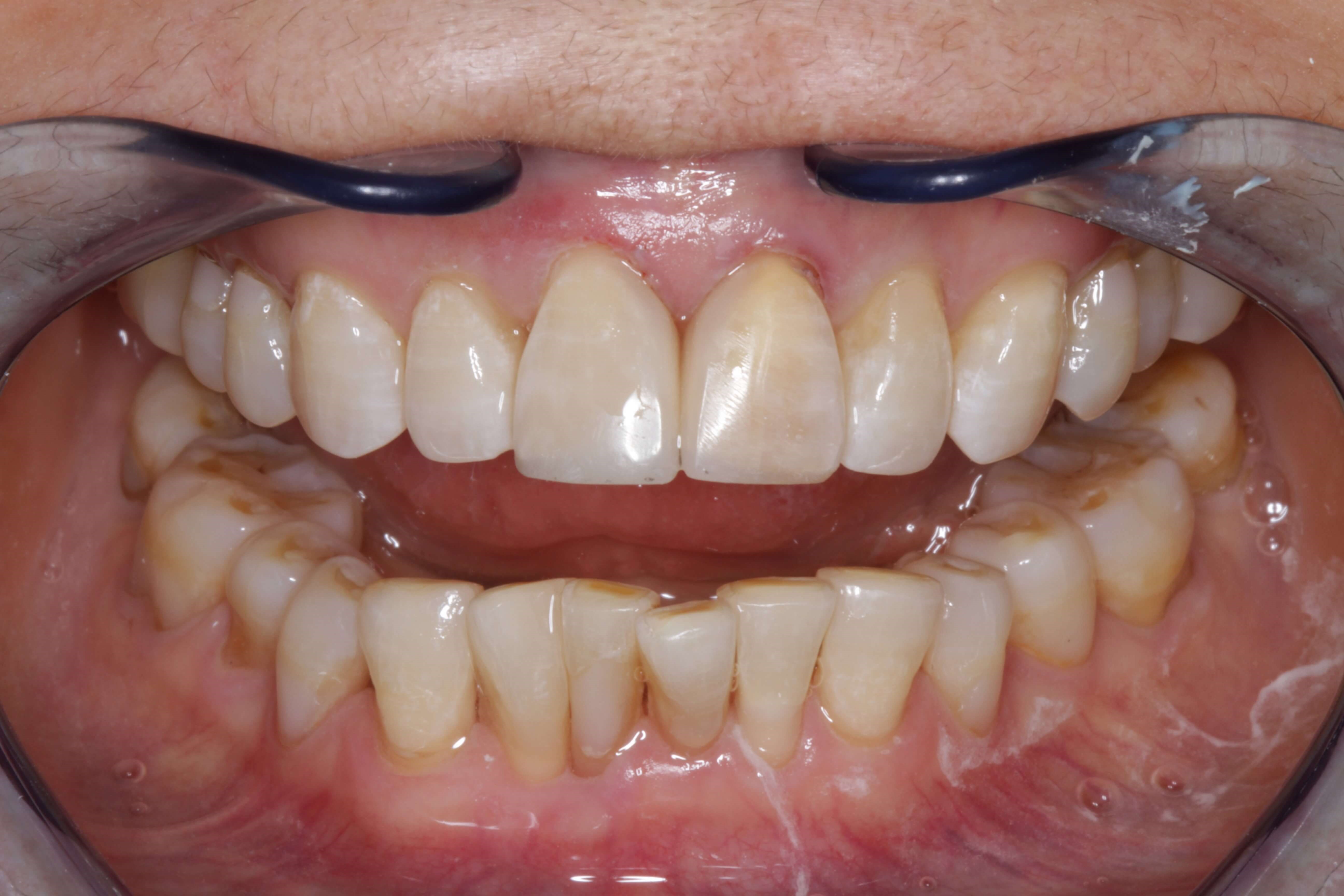
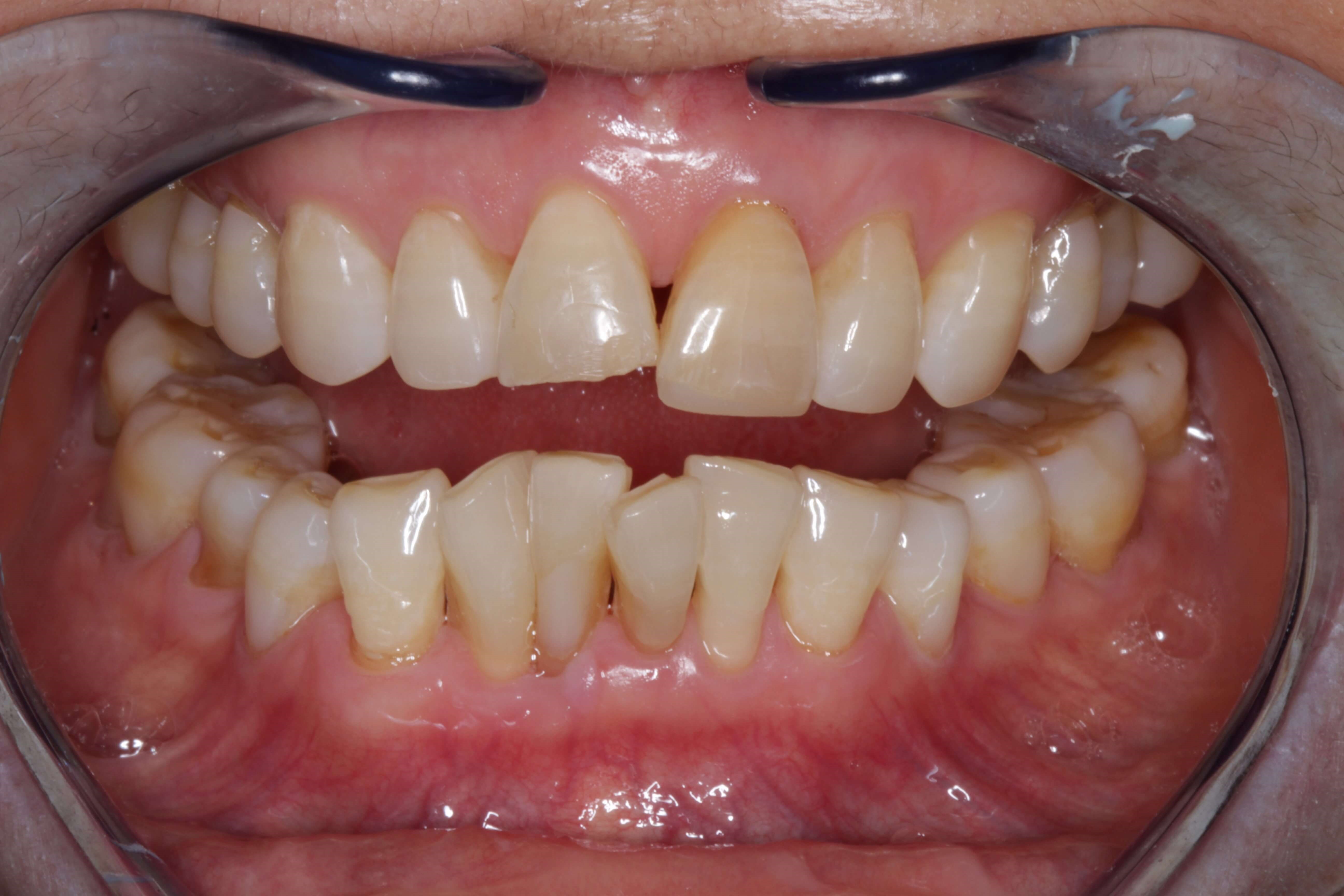
Overview
While you may enjoy coffee, tea, tomatoes, berries, or tobacco products, these are the most common sources of dental stains and discoloration. Fortunately, Orlando Advanced Dentists has a great solution if you want to brighten and rejuvenate your smile. Philips Zoom in-office whitening treatment is a top treatment for in-office teeth whitening in Orlando, FL. Cosmetic dentist Dr. Patricia Roach is delighted to offer both Philips Zoom QuickPro and WhiteSpeed teeth whitening among our professional options to help you enjoy a bright, vibrant-looking smile. Dr. Roach will discuss the best options for you and help you select an ideal whitening method based on your smile goals, oral considerations, and budget. To enhance or maintain your Zoom in-office treatment, our full-service practice also offers take-home treatments to keep your smile looking its best over time.
Reviews
Best Candidates
Your Zoom treatment at Orlando Advanced Dentists will be planned and customized to give you your ideal results. For fast aesthetic improvements, Zoom QuickPro is great at removing stains on the enamel surfaces from dark-colored drinks, certain foods, and tobacco products. Zoom WhiteSpeed can also treat surface stains, but it also reaches into the deeper layers of enamel to dissolve discoloration from certain medications, illnesses, and the effects of aging. During your initial consult, Dr. Roach will assess your teeth and help you select which process best matches your needs and goals. She is pleased to offer several effective options for teeth whitening to help meet your aesthetic goals. You may also wish to pair your in-office procedure with take-home whitening treatments, which can be used either separately or after your professional treatment to boost and maintain your results. Zoom whitening may also be performed as a single procedure, within a total smile makeover to improve your appearance, or as a post-orthodontic cosmetic enhancement.
What To Expect
Whether you are receiving Zoom QuickPro or WhiteSpeed, you should schedule your whitening treatment to follow your biannual professional cleaning at Orlando Advanced Dentists. A professional dental cleaning removes plaque and tartar, allowing the whitening gel to be evenly applied to your enamel. As soon as your teeth are cleaned and dried, your gums will be covered and protected before the whitening process begins.
- Zoom QuickPro: For Zoom QuickPro, the enamel is coated with a layer of whitening varnish followed by a protective sealant. After the enamel has been evenly treated, you may go home. You will be asked to brush your teeth to remove the varnish 30 minutes following the application. Zoom QuickPro may be an excellent solution to give your smile a quick boost in a short amount of time.
- Zoom WhiteSpeed: For Zoom WhiteSpeed, a whitening gel will be applied to your enamel. As soon as the enamel is evenly coated, a special light will be positioned in front of your mouth to accelerate the whitening process. This will be completed three times in increments of 15 minutes. When the treatment is complete, the gel will be removed from your teeth. A post-treatment solution is then applied to your teeth to minimize sensitivity and strengthen your enamel. Zoom WhiteSpeed is a whitening procedure that can lighten tooth enamel by up to eight shades within the convenience of about 45 minutes.
Follow-Up
Dr. Roach and our team will go over more specific steps to care for your teeth after your whitening treatment. The best way to preserve your whitening results is to maintain a good oral care regimen at home with frequent brushing, flossing, and mouthwash use. Scheduling cleanings at Orlando Advanced Dentists will also help to remove stains from your enamel and keep your teeth healthy and bright. For the best possible results, it is best to avoiding staining drinks, foods, and tobacco products to help keep your enamel shade looking bright. You can enhance or touch-up your results with at-home whitening kits or schedule another whitening treatment in our office when needed.
Zoom Teeth whitening
Stop wasting money and time on ineffective, over-the-counter teeth whitening products. Schedule a consultation at Orlando Advanced Dentists to learn more about professional Zoom teeth whitening. Dr. Roach will go over your options and the treatment process before crafting your personalized Zoom teeth whitening plan with either home or office treatments. To get the bright, beautiful smile you have been wanting, contact our office in Orlando, FL and schedule your teeth whitening consultation today.
 
         
         
         
        