Smile Makeover to reduce gummy smile and replace missing teeth
Procedure
- Dental Implants
- Gum Contouring
- Porcelain Veneers
- Dental Crowns
- Dental Bridges
- Smile Makeover
- Implants
- All Porcelain Crown
- Crowns
- Dental Crown
- Dental Veneers
- Cosmetic
- all ceramic veneers
- Cosmetic Dentistry
- New Smile
- Gum Recontouring
- gum lift
- Implant-Supported Crown
- All Ceramic Crowns
- Dental Crowns
- All Ceramic Crown
- Crown
- Dental Caps
- Caps
- gum surgery
- Cosmetic Dentist
- Bridge with pink porcelain
- #implants
- implant
- dental implant
- Implant Retained Prosthesis
- implant retained bridge
Profile
Cosmetic Dentist
407-688-9990
Procedure Details
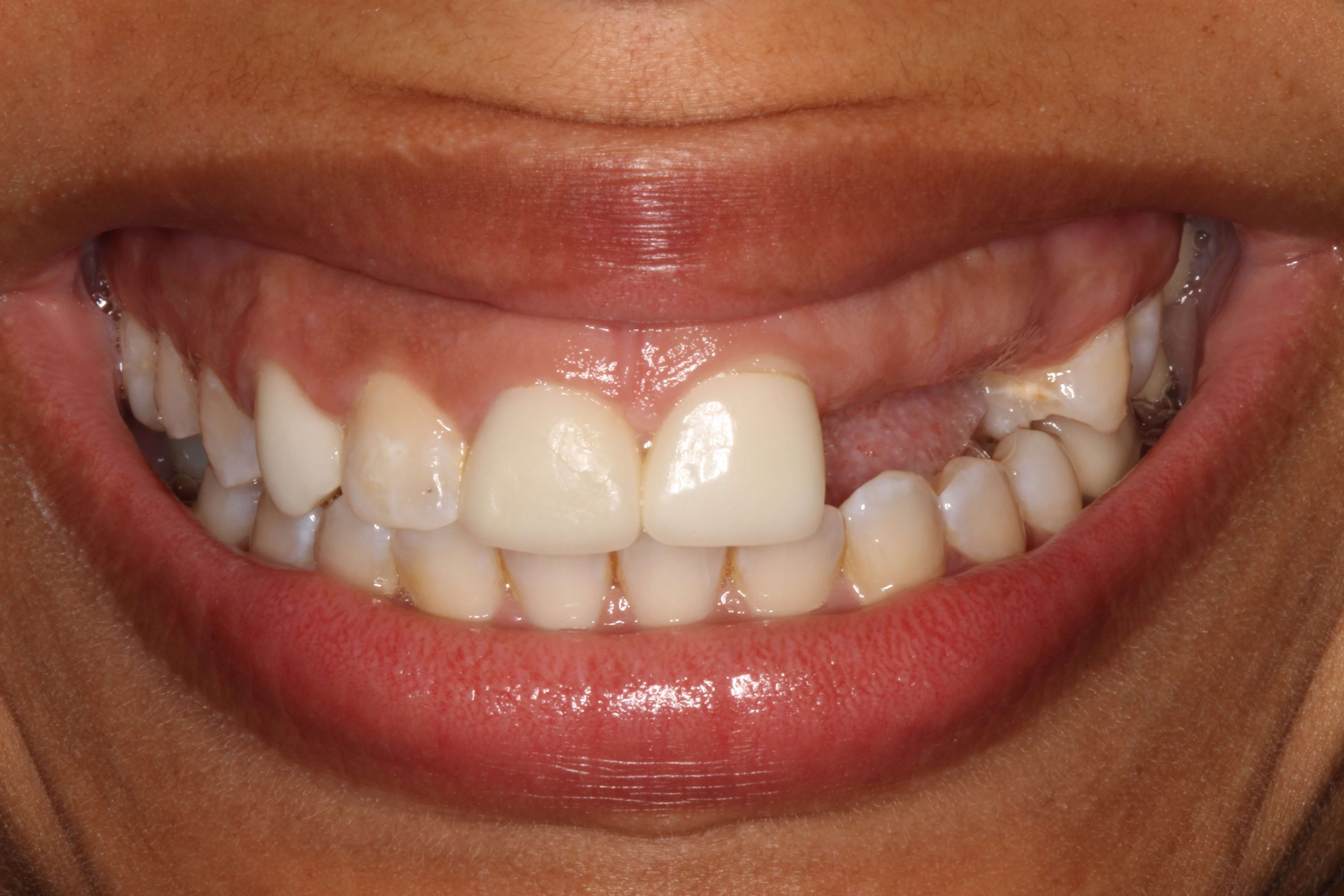
Our patient came to Orlando Advanced Dentists for a Smile Consultation with Dr. Roach and wanted to have options to replace her missing teeth and create a beautiful smile so she could smile with confidence. She has beautiful lips and she shows all her teeth in her smile. The patient did not like the color and size of her existing teeth and felt her smile was too gummy. Dr. Roach designed the smile to reduce the gummy smile and created the proper size and shape of the front teeth. Two implants were placed and restored with an implant retained brige over implants with pink ceramic/porcelain to simulate papilla/gum tissue that was deficient because of missing teeth. Gingivectomy was done using a Diode Laser to reduce the gummy smile and the front teeth were restored with Porcelain Veneers and All Ceramic Crowns to create the proper size, shape and color for the patient's new smile. Dr. Roach's patient waited years to have this result and she is extremely happy and confident with her new smile.
Location
Popular Searches
* All information subject to change. Images may contain models. Individual results are not guaranteed and may vary.
