Smile Makeover after Orthodontics in Lake Mary
Patient
- Age:
- 30 - 39
- Gender:
- Undisclosed
Procedure
- Emergency Dental Care
- Dental Crowns
- Dental Implants
- Smile Makeover
- Porcelain Veneers
- KöR® Home Teeth Whitening
- Tooth Extractions
- Implants
- Chipped teeth
- Damaged tooth
- Replace missing teeth
- Porcelain Crowns
- All Porcelain Crown
- Porecelain Crowns
- Dental Crown
- Cosmetic
- Smile Design
- crowded teeth
- Crooked Teeth
- Discolored Teeth
- Cosmetic Dentistry
- New Smile
- Dental Makeover
- White smile
- Cosmetic Teeth Whitening
- Teeth Whitening
- Implant-Supported Crown
- All Ceramic Crowns
- Porcelain Dental Crowns
- Dental Crowns
- All Ceramic Crown
- Crown
Profile
Procedure Details
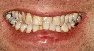
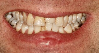
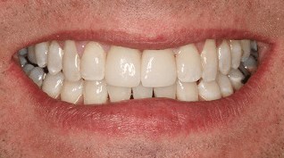
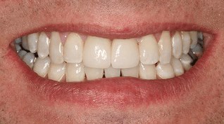
Post Trauma Cosmetic Dentistry
This patient came to our office after he fell and had dental trauma causing him to lose a front tooth. He wanted to fix the damage caused by the accident but also cosmetically enhance the rest of his teeth. The patient had an extraction of a front tooth and then went into orthodontics to fix the alignment of the crowded teeth. After orthodontics was complete, KOR whitening was done and implant was placed where the front tooth was missing. The final restorative treatment was implant retained porcelain crown and porcelain veneer on tooth adjacent to the implant. The final result repaired all the damage caused by the accident but also gave a beautiful cosmetic result.
Location
Popular Searches
* All information subject to change. Images may contain models. Individual results are not guaranteed and may vary.


&w=538&do-not-index) 
                        &w=&do-not-index) 
                                        
                                    &w=538&do-not-index) 
                        &w=&do-not-index)