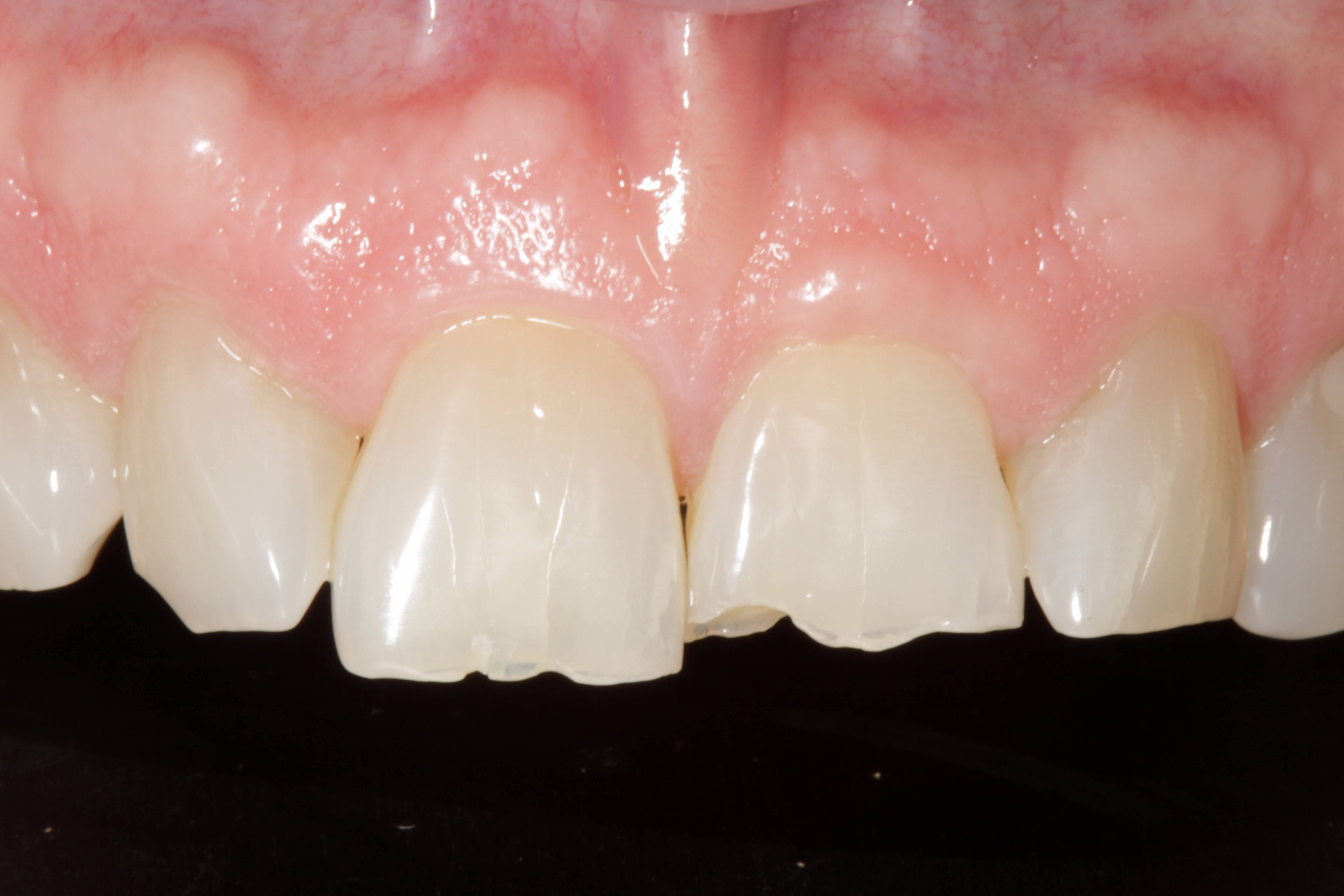
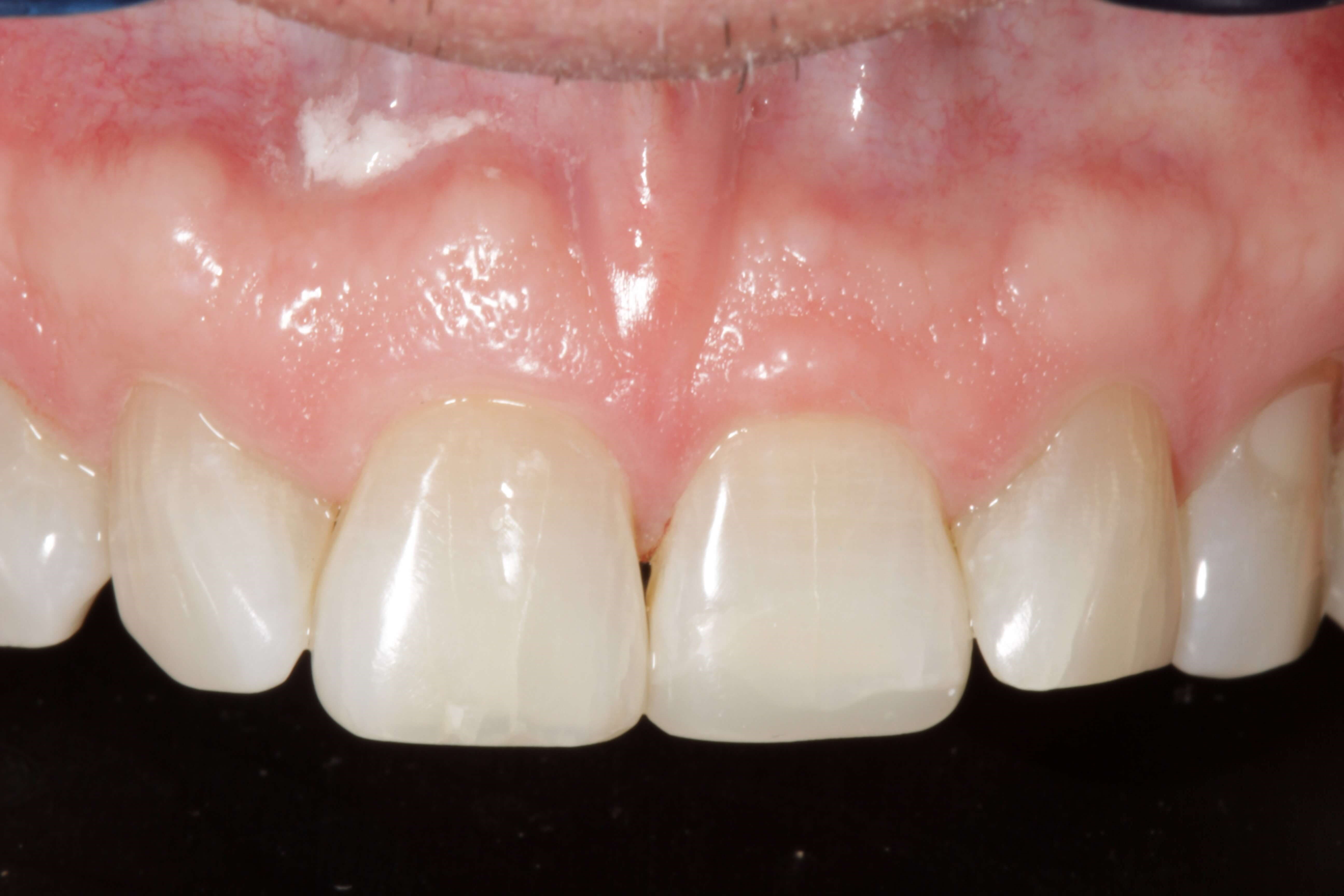
PHOTO GALLERIES
Dental Bonding And Contouring Service Pictures Near lake mary, fl
*Individual results are not guaranteed and may vary from person to person. Images may contain models.
*Individual results are not guaranteed and may vary from person to person. Images may contain models.