Conservative Cosmetic Dentistry in Orlando, Florida
Patient
- Age:
- undisclosed
- Gender:
- Male
Procedure
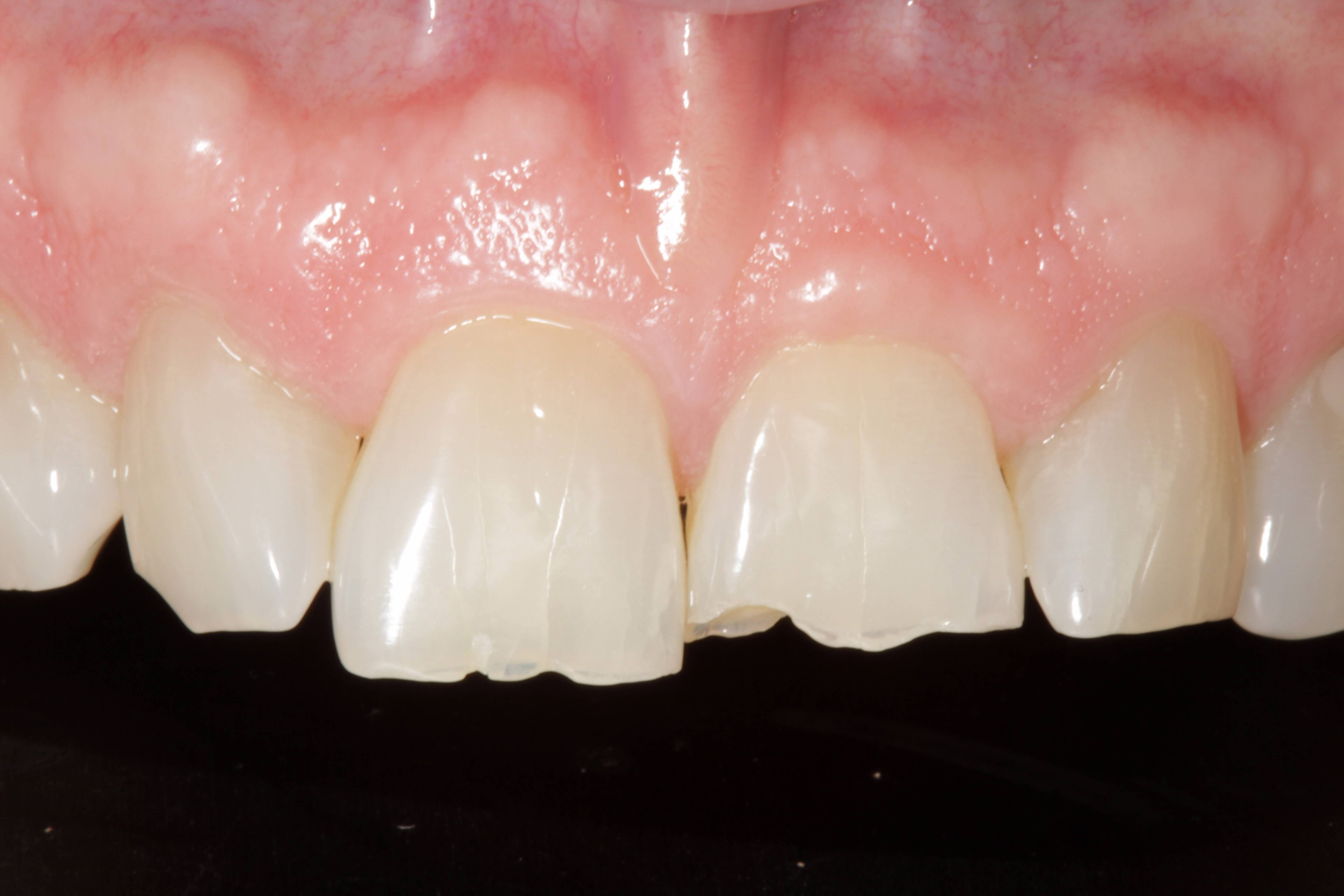
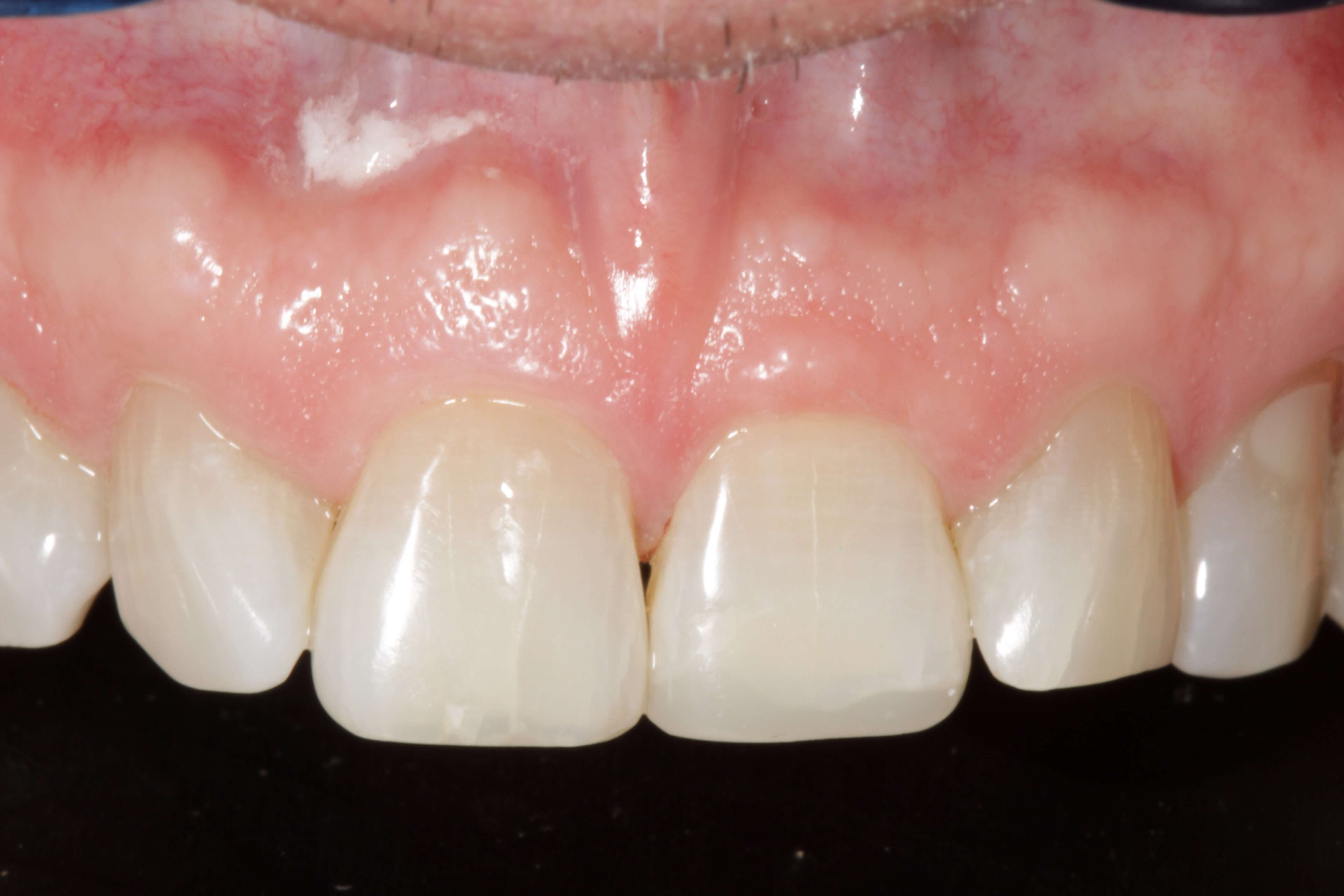
- Dental Bonding and Contouring
- Worn teeth
- Cracked teeth
- Broken front teeth
- Chipped teeth
- Broken teeth
- Cosmetic Additive Bonding
- Conservative Cosmetic Bonding
- Conservative Cosmetic Dentistr
- Pretty new Smile
- Cosmetic Additive Bondings
- Cosmetic Tooth Contouring
- Cosmetic Dentist
- Cosmetic Bonding
- Adhesive Dentistry
- New Smile
- Cosmetic Dentistry
- Cosmetic
- bonding
- Dental Bonding
Profile
Cosmetic Dentist
407-688-9990
Procedure Details
Location
Popular Searches
* All information subject to change. Images may contain models. Individual results are not guaranteed and may vary.
