Conservative Smile Makeover in Lake Mary, FL
Patient
- Age:
- 30 - 39
- Gender:
- Undisclosed
Procedure
- Dental Crowns
- KöR® Home Teeth Whitening
- Smile Makeover
- Dental Bonding and Contouring
- Gum Contouring
- Porcelain Crowns
- All Porcelain Crown
- Porecelain Crowns
- Crowns
- Dental Crown
- Cosmetic
- Cosmetic Dentistry
- New Smile
- Gum Recontouring
- Cosmetic Teeth Whitening
- gum lift
- All Ceramic Crowns
- Porcelain Dental Crowns
- Dental Crowns
- All Ceramic Crown
- Crown
- All Porcelain Crowns
- Dental Caps
- Caps
- Recontouring
- gum surgery
Profile
Procedure Details
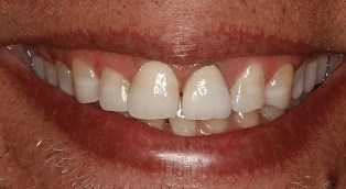
Conservative Smile Makeover
Many patients want a beautiful smile but also want to do the least invasive procedures with a very natural result. This patient has a very busy schedule and wanted to enhance his smile with a natural look keeping visits to a minimum. KOR whitening was done first to improve the color. After whitening Dr. Roach did gum recontouring to level the gumline. Additive cosmetic bondings were done to give some of the teeth the proper proportions and an old porcelain fused to metal crown was replaced with an all ceramic crown. All custom staining and characterization to the crown was done in our office lab.
Location
Popular Searches
* All information subject to change. Images may contain models. Individual results are not guaranteed and may vary.

