Cosmetic Smile Makeover after Orthodontic Treatment
Patient
- Age:
- undisclosed
- Gender:
- Female
Procedure
- Dental Bridges
- Dental Crowns
- KöR® Home Teeth Whitening
- Smile Makeover
- Porcelain Crowns
- All Porcelain Crown
- Crowns
- Dental Crown
- Cosmetic
- Cosmetic Dentistry
- New Smile
- Cosmetic Teeth Whitening
- All Ceramic Crowns
- Porcelain Dental Crowns
- All Ceramic Crown
- Crown
- Dental Caps
- Caps
- Cosmetic Dentist
- Maryland Bridge
- Porcelain caps
- KOR Whitening
- congenitally missing teeth
- missing teeth
- Replace missing teeth
- orthodontics
- cosmetic treatment after ortho
Profile
Cosmetic Dentist
407-688-9990
Procedure Details
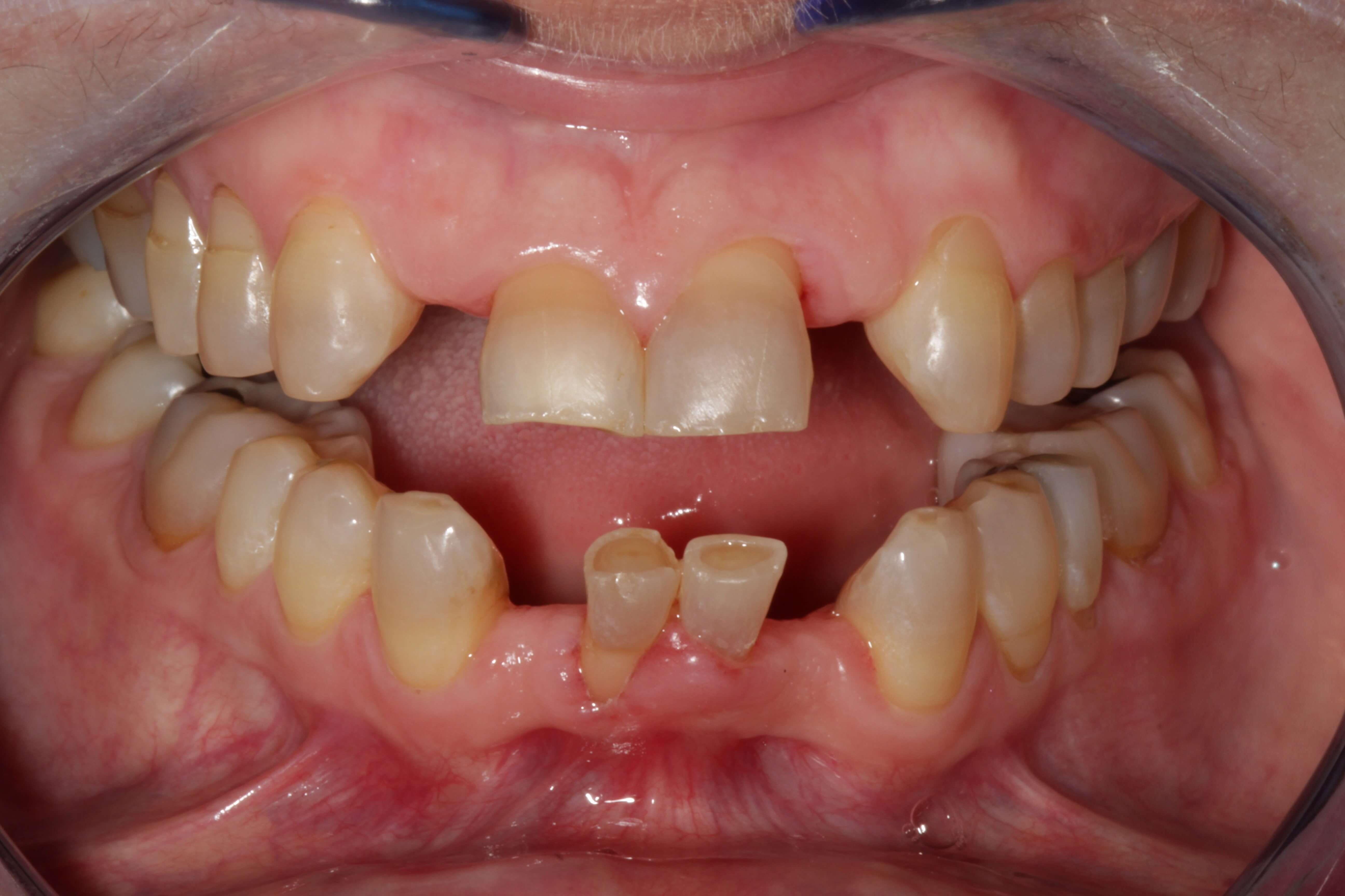
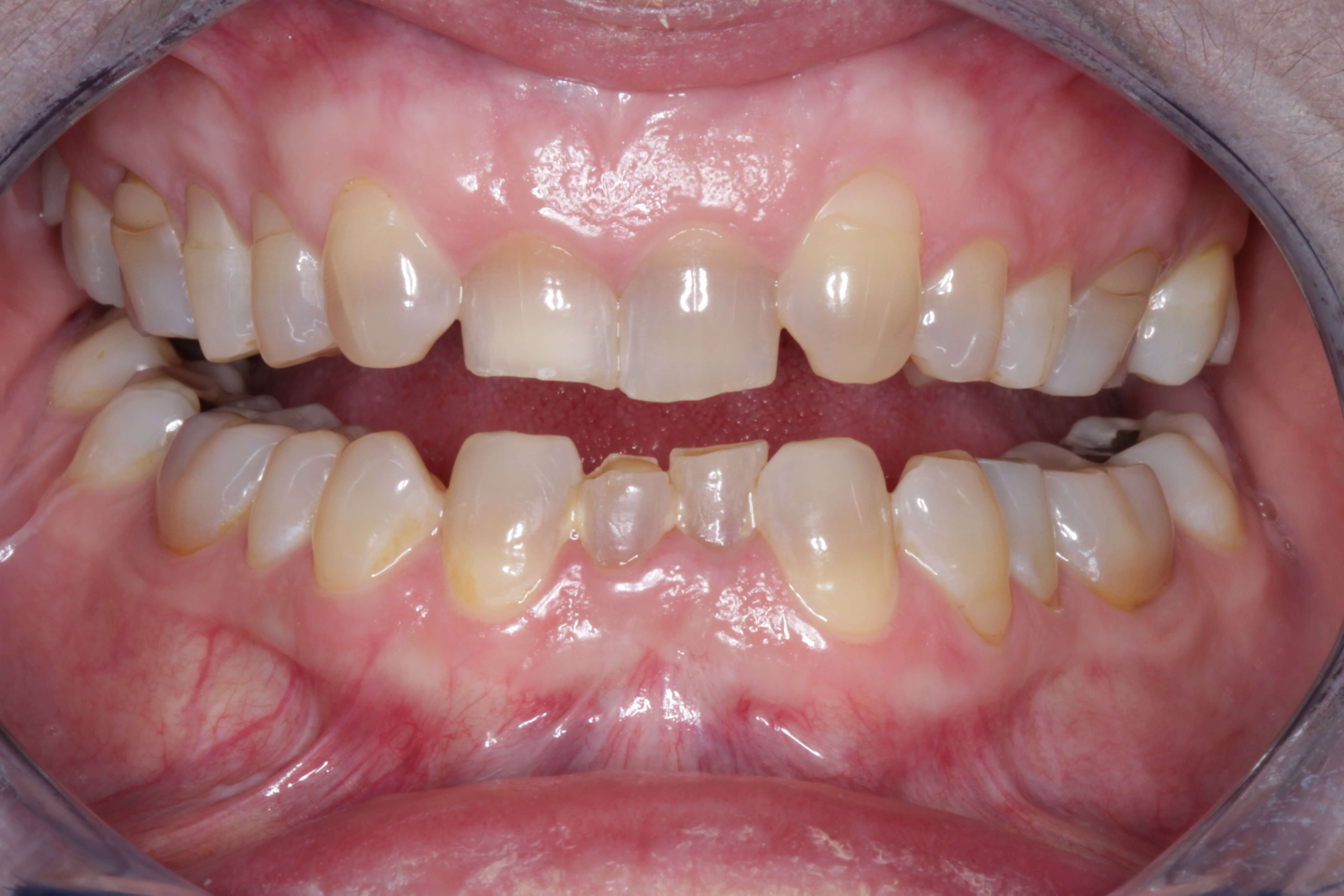
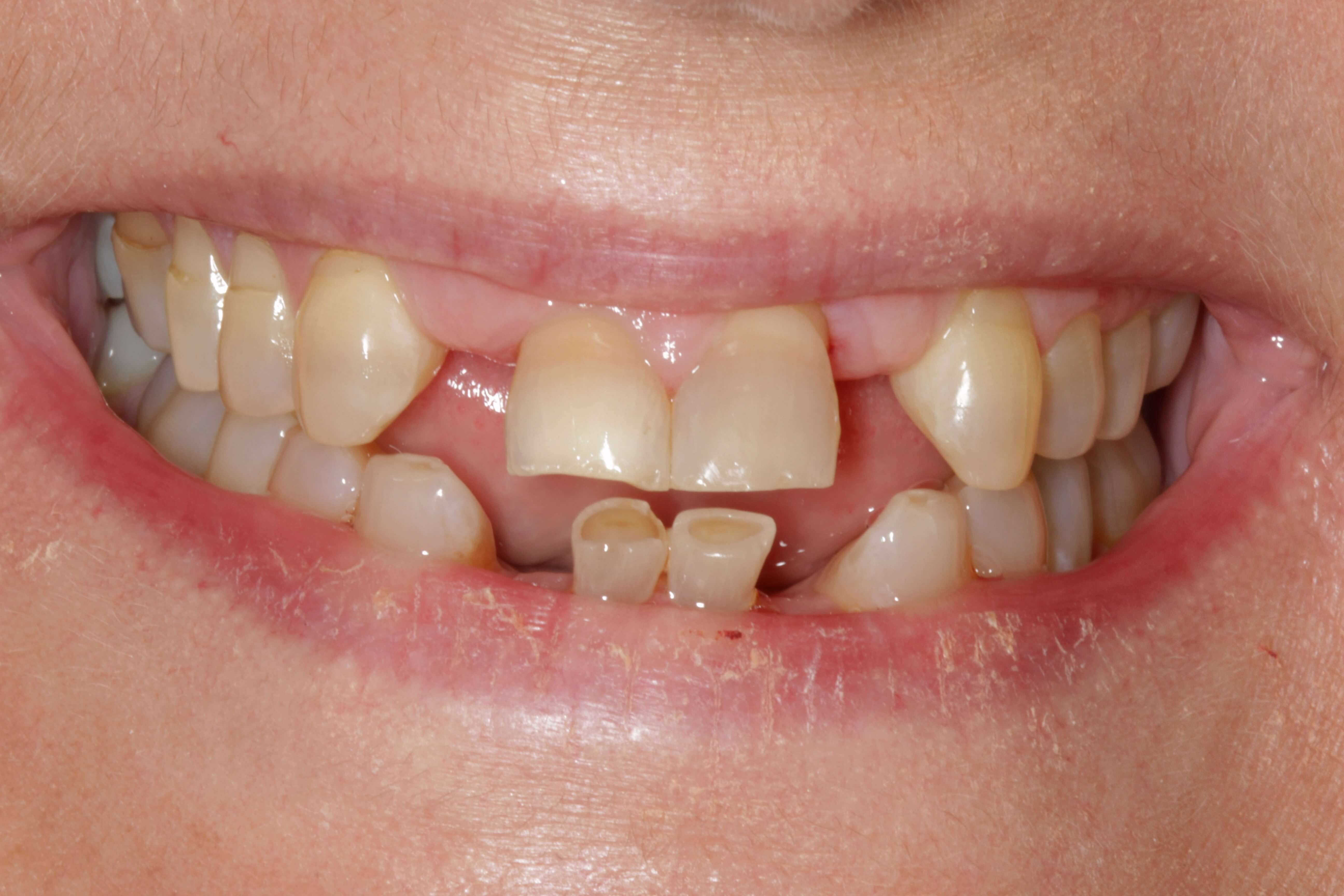
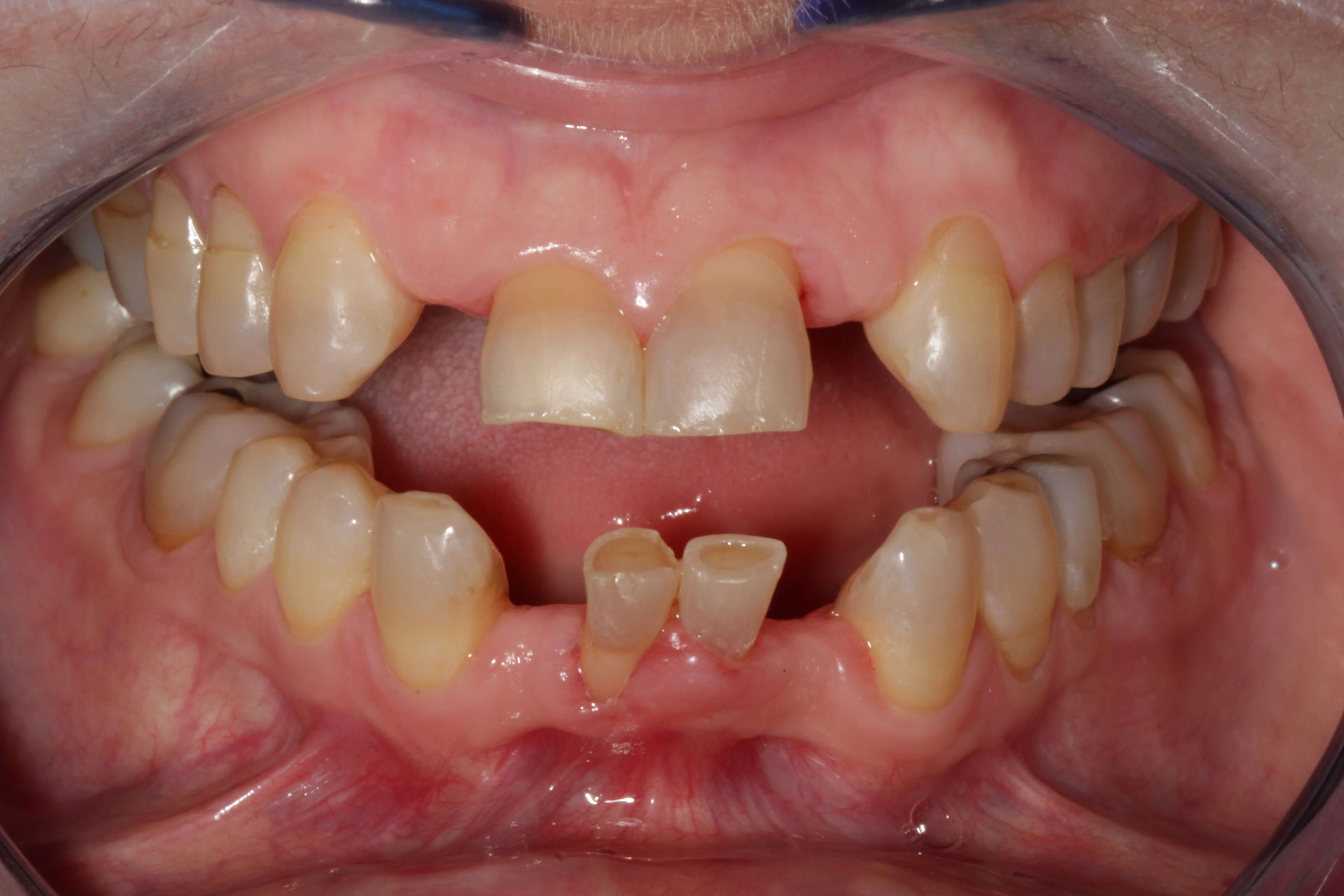
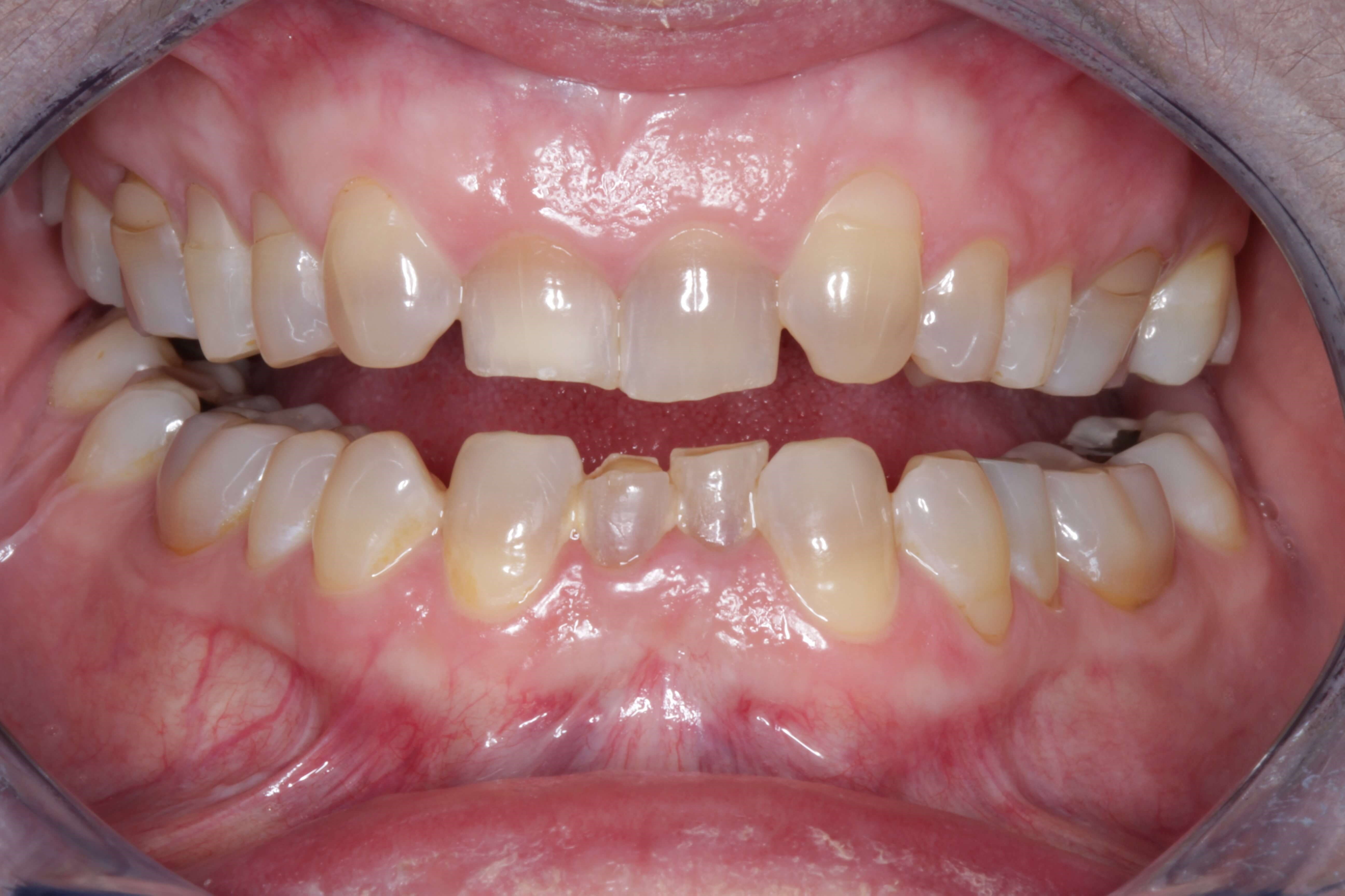
Our patient came in for a smile consutlation and was not happy with the look and color of her teeth and smile. She was congenitally missing her upper lateral incisors and 2 lower incisors which collapsed her smile and made the smile and teeth look very little. Dr. Roach's plan was to have our Orthodontist on our team complete orthodontic treatment on our patient to re-align the teeth and open the spaces where she is congenitally missing teeth to broaden the smile and create a better bite for the patient. Once the proper orthodontic alignment and spacing was achieved with the results our Orthodontist and Dr. Roach agreed upon through constant communication during treatment we were able to move to the post orthodontic cosmetic dentistry. The patient did KOR Whitening to improve the color of her teeth dramatically. Dr. Roach did a Cosmetic Smile Design to assist with acheiving the final cosmetic results. We fabricated Porcelain Cantilever Bridges to replace the missing teeth with custom color matching of the ceramic to have a lifelike result with the ceramic. The patient is thrilled with the final results.
Location
Popular Searches
* All information subject to change. Images may contain models. Individual results are not guaranteed and may vary.
