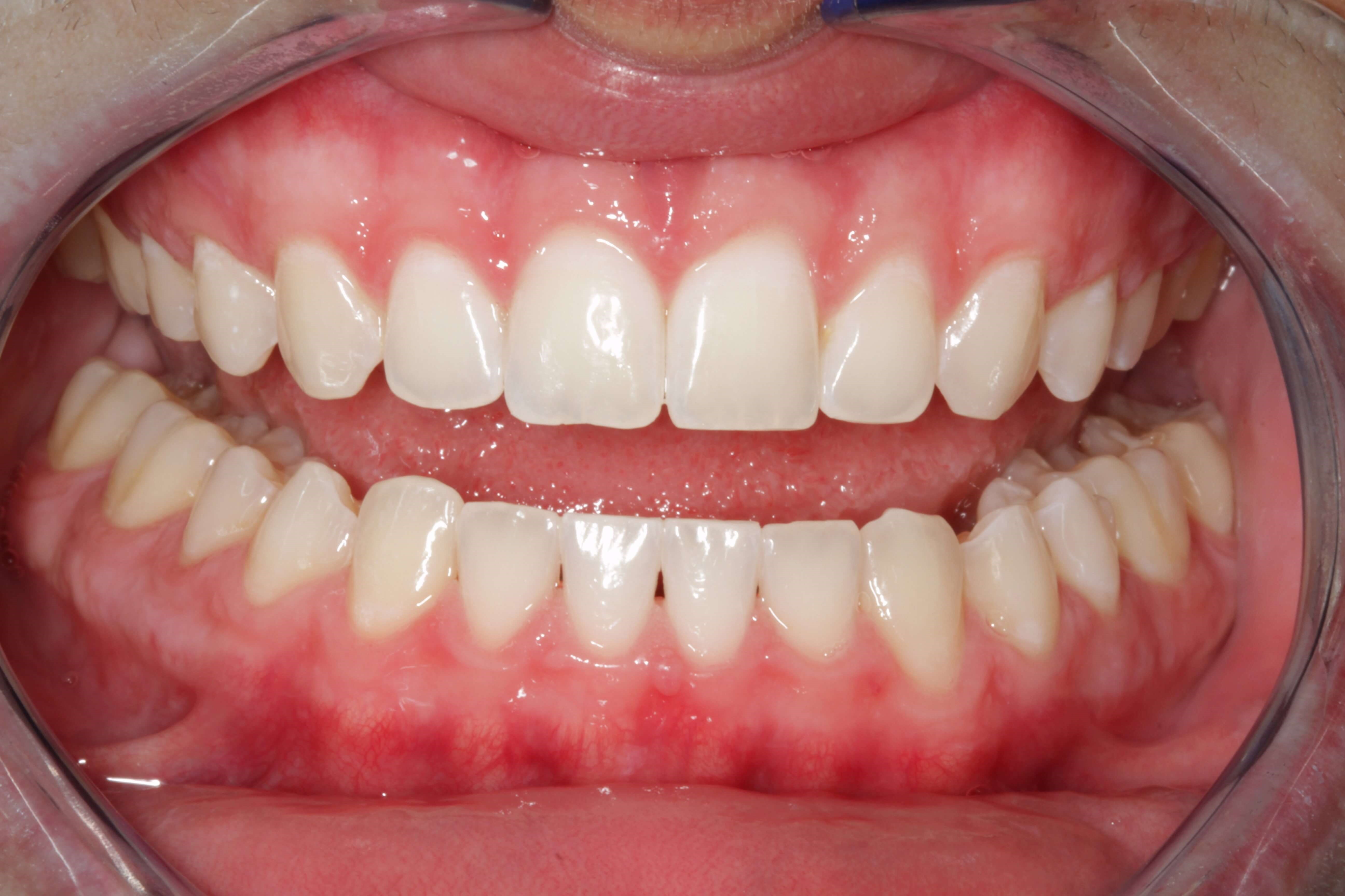
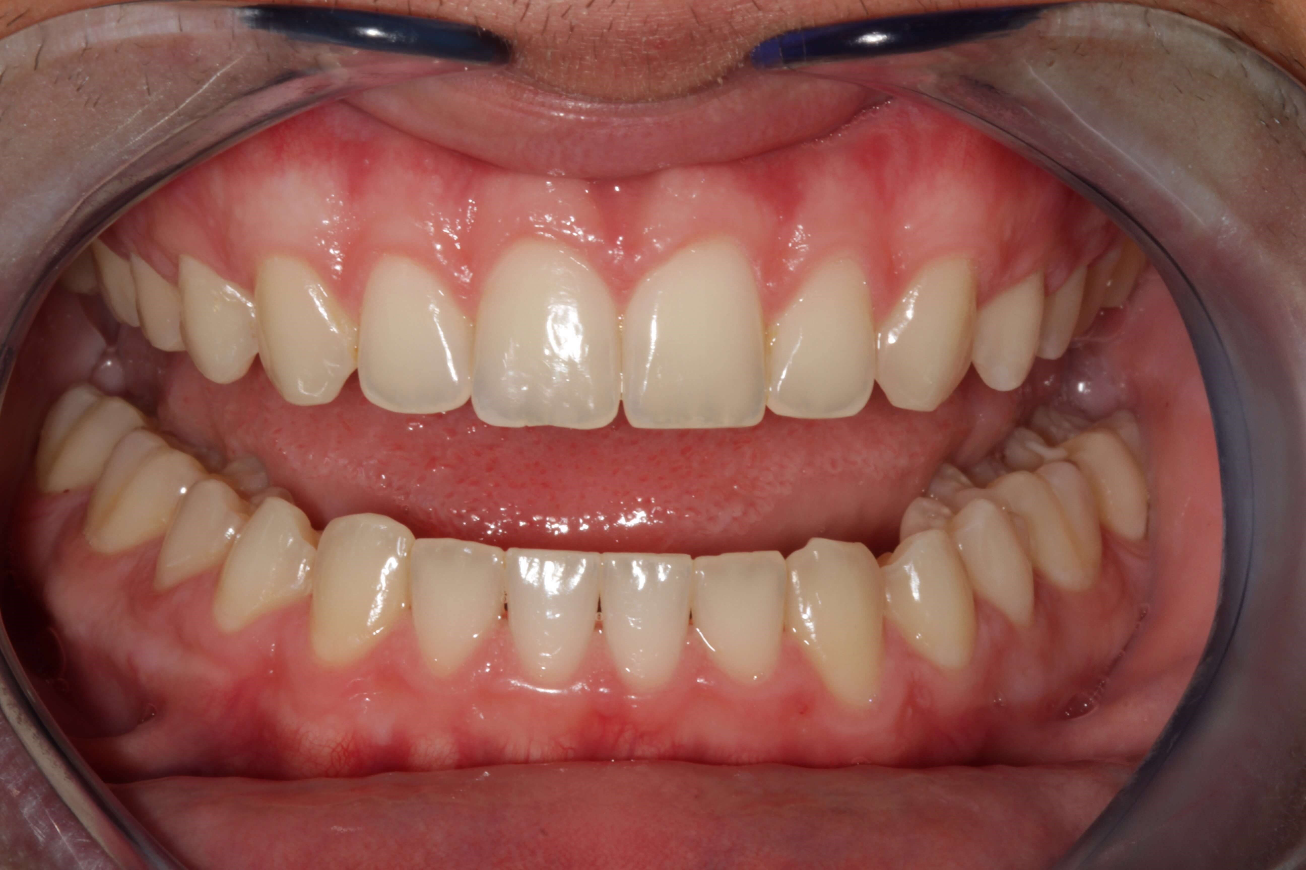
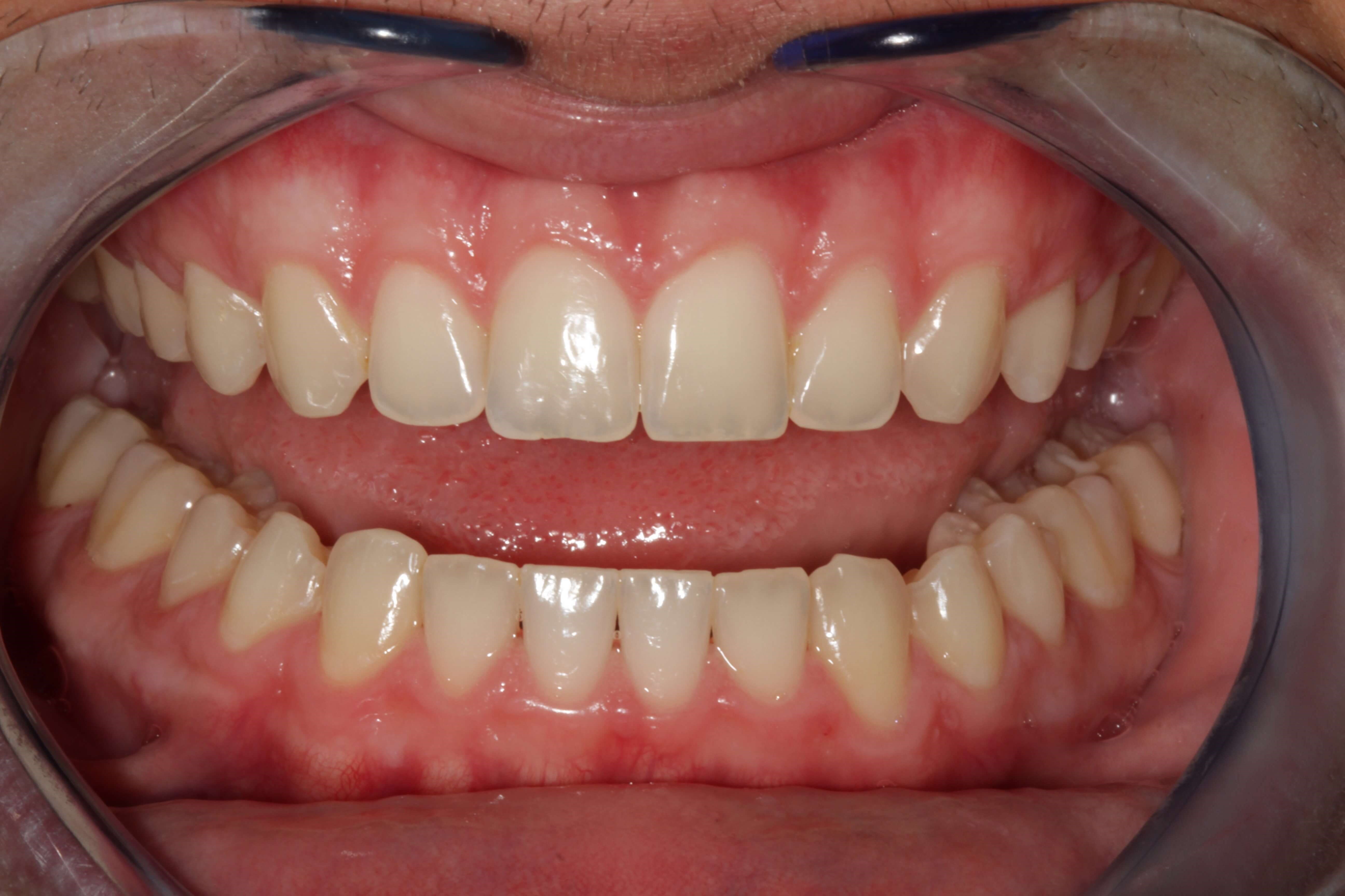
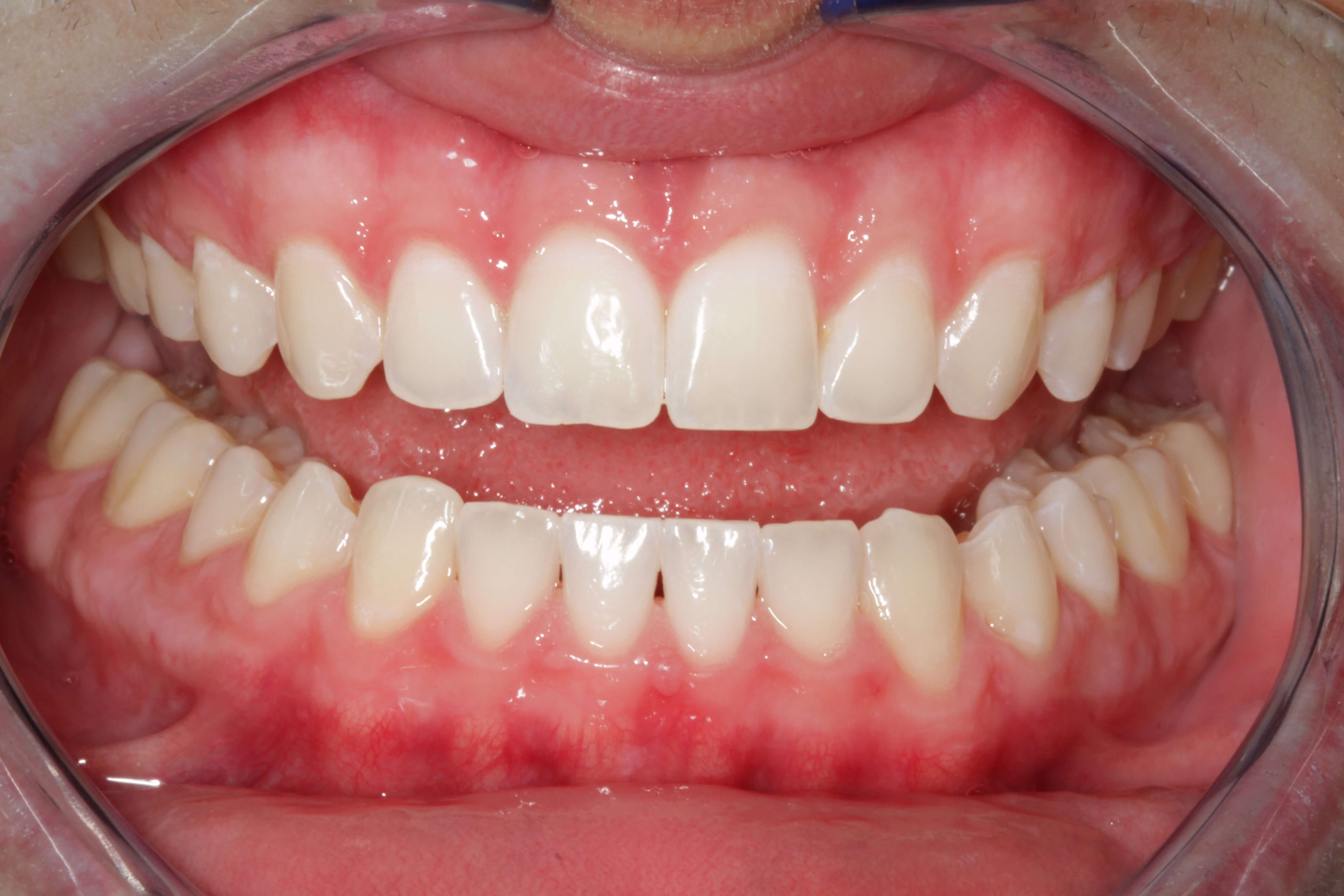
ZOOM Whitening for adolescent after Orthodontic Treatment.
Profile
Cosmetic Dentist
407-688-9990
Procedure Details
Location
Popular Searches
* All information subject to change. Images may contain models. Individual results are not guaranteed and may vary.
